未來有望再拯救15種癌症!他僅做5次新治療攝護腺癌腫瘤全消失 高精準副作用少

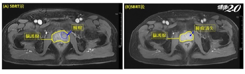
68歲的林先生在確診攝護腺癌後,選擇了立體定位放射治療,僅經過5次療程,腫瘤成功消失,PSA值大幅下降,且無明顯副作用。立體定位放射治療與傳統治療的差異有哪些?醫師說明,立體定位放射治療是一種高效的放射治療方法,且有高精準、副作用少的優勢。
攝護腺癌傳統治療的缺點有哪些?創新技術SBRT立體放射治療的優勢
根據衛生福利部國民健康署統計,攝護腺癌在台灣男性十大癌症中的發生率位居第五,其診斷主要依賴肛門指診(DRE)與攝護腺特異抗原(PSA)檢測,也就是俗稱的攝護腺癌指數篩檢。如果肛門指診發現異常硬塊或PSA值過高,醫師通常會建議進一步進行攝護腺切片,以早期發現癌症,安排後續治療規劃。亞東醫院放射腫瘤科主任謝忱希醫師指出,傳統癌症治療方法往往伴隨高風險及嚴重副作用,對患者的身體和心理都是巨大挑戰。
看更多:攝護腺癌/治療攝護腺癌容易腹瀉免驚!3種療法照護方式全掌握 荷爾蒙治療多補鈣
隨著醫療科技的持續發展,傳統癌症治療方法逐漸進入新的領域。立體定位放射治療(SBRT,Stereotactic Body Radiotherapy)因其高精準度和短療程成為現今放射治療中的一項突破性技術,特別是在攝護腺癌的治療中展現出卓越成效。謝忱希進一步說明,與傳統治療方法相比,SBRT的副作用顯著較少,能夠在短時間內有效摧毀腫瘤細胞,且對周圍健康組織的損傷有限。
案例分享:68歲林先生的治療經歷
68歲的林先生,在長期患有高血壓與攝護腺肥大的情況下,過去一年夜尿頻繁,每晚多達4至5次。去年發現PSA值異常上升,考量到可能存在攝護腺癌的風險,亞東醫院泌尿外科鍾旭東主任建議林先生接受進一步的切片檢查,最終確診為高風險的攝護腺癌。
看更多:84歲高齡抗癌勇者!不開刀也能戰勝腦瘤 一次治療腦部腫瘤全消失

3 秒獲得專屬健康心法
挑選您關心的主題
馬上掌握精選內容
經過與醫療團隊的共享決策模式(SDM),林先生選擇接受僅需5次療程的SBRT治療,而非傳統的20次或39次放射療程。這項選擇不僅減少了治療的時間,也降低了副作用的風險。經過治療後一周,林先生的PSA值顯著下降,治療兩個月後PSA值再度降低,並通過磁振造影證實腫瘤已完全消失。林先生感激醫療團隊的專業,並表示治療後能夠迅速恢復正常生活,重拾健康與信心。
SBRT是高精準、高效能的放射治療技術
謝忱希指出,SBRT治療的核心在於其高度的精準度。這種治療方法利用影像導引技術精確定位腫瘤,並通過多角度放射線束集中劑量,短時間內以最大程度地摧毀腫瘤細胞的同時,對正常組織的影響降至最低。這使得SBRT能在短短5次療程內達到與傳統放射治療(需要進行39次照射)相同的治療效果,大大縮短了患者的治療時間,也降低了治療過程中的副作用。
謝忱希引用國際知名臨床試驗PACE-B的研究結果說明,針對攝護腺癌患者,接受SBRT治療的五年無生物化學失敗事件發生率為96%,代表攝護腺經治療後,五年的疾病控制率可高達96%,成效相當優異。該研究也顯示,五年內出現腸道三級副作用的風險,無論是傳統放射治療還是SBRT均低於1%;而泌尿道三級副作用的發生率,傳統放射治療與SBRT則均低於5%。充分證實SBRT在安全性與療效上的卓越表現。
此外,根據英國與瑞士合作的國際著名臨床試驗STAMPEDE的研究結果,使用SBRT治療新診斷的低轉移性攝護腺癌患者,能顯著提高無失敗存活率(failure-free survival)。該研究還指出,SBRT能在短時間內迅速降低PSA值,且對排尿功能和性功能的影響較小,有助於患者在治療過程中維持良好的生活品質與健康水平。
SBRT的副作用與處理方式
謝忱希說明,儘管SBRT的副作用相對較少,幾乎沒有不舒服,但部分患者仍可能經歷一些輕微的不適。最常見的副作用是排尿可能會感到輕微的灼熱感或頻尿現象,這些通常會在治療後的1周內出現,但可以透過藥物來緩解,並且症狀會隨著時間的推移逐漸消退,持續的時間約為治療後一周到一個月,看病患本身的體質以及腫瘤的大小。
此外,有些患者可能大號會變成從一天只有一次,增加成為二至三次,同樣的發生的持續時間約為一周到兩周之間,但這些情況通常也可以透過藥物調整來管理。治療過程可透過預防性的給藥避免副作用的發生。值得一提的是,傳統放射治療常見的皮膚反應、噁心和嘔吐等副作用在SBRT治療中幾乎不存在。
看更多:他感冒竟意外發現罹癌!50歲後夜尿、排尿不順 小心是癌警訊
SBRT的應用範圍:不僅限於攝護腺癌
SBRT目前可進行局限於攝護腺癌(包括腫瘤),或攝護腺診斷便有寡轉移的患者。至於未來應用範圍是否能擴大?謝忱希說明,未來隨著技術的進一步發展,SBRT的應用範圍有望繼續擴大,為更多癌症患者提供高效且副作用較少的治療選擇。
除了在攝護腺癌治療中取得顯著成果外,根據最新的臨床實驗證實,SBRT可增加疾病的控制率甚至是存活率,可運用的範圍包括腦轉移、腦膜瘤、聽神經瘤、肺癌、乳癌、肝癌、胰臟癌、腎臟癌、攝護腺癌、超短療程直腸癌、骨轉移、肺轉移、肝轉移、淋巴轉移,頭頸癌復發等狀況,是療效高、副作用極少、應用度極高的新式治療技術。
◎ 圖片來源/亞東醫院提供
◎ 諮詢專家.資料來源/謝忱希主任.亞東醫院
→健康資訊不漏接!點我加入【健康2.0 LINE好友】【FB粉絲頁】【下載APP】







3 秒獲得專屬健康心法
挑選您關心的主題
馬上掌握精選內容


















































