得肝癌竟又得肺癌!肺部陰影不單純,醫靠這招精準切除「免化療」

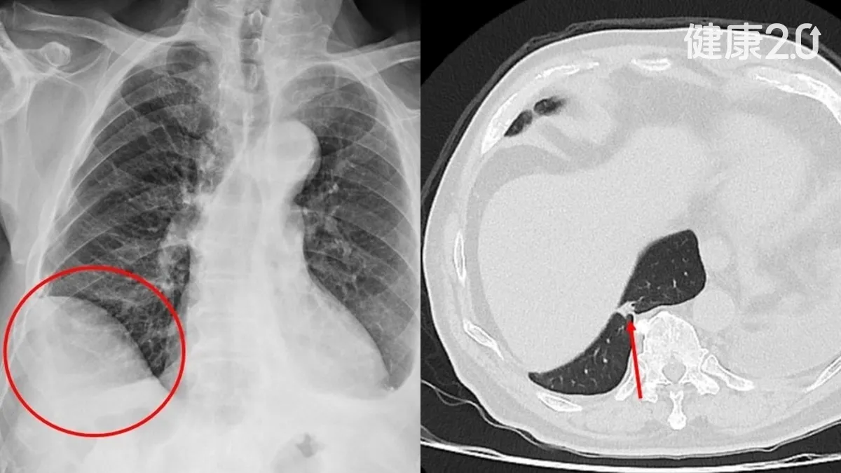
得肝癌了怎麼身體裡還有肺癌?一名75歲的吳先生原本正因為罹患肝癌,在仁愛長庚合作聯盟醫院接受治療,沒想到在治療期間進行追蹤檢查時,竟然發現右下肺長了一顆約1.2公分的新腫瘤。
因為懷疑是肺癌,肝膽腸胃科的主治醫師,便將吳先生轉介給胸腔及心臟血管外科廖啟耀主任看診,經醫療團隊與家屬討論後決定手術切除。
看更多:都沒在健檢 60歲主唱大腸癌腦轉移驚傳病逝!醫揭頭痛頸硬是警訊
曾車禍傷及橫膈膜 肺和肋膜沾黏,手術難度暴增
不過這場手術面臨了極大的挑戰,因為吳先生過去曾發生車禍導致橫隔膜受傷,這類有外傷經歷或胸腔手術史的病人,常因胸腔發炎反應導致肺臟與周遭肋膜產生沾黏。解剖構造的改變讓血管方向難以分辨,預期手術難度相對提高,對執刀醫師來說是一項艱鉅的挑戰。
達文西手臂精準剝離沾黏 術後三天火速出院
廖啟耀主任表示,這類病人的橫隔膜與肺臟沾黏嚴重,手術空間相當狹小,若使用傳統開胸或胸腔鏡手術,常因剝離沾黏導致出血或肺破損,需要較長恢復期。
看更多:淋巴癌三期治癒1年半未復發,「超臭蔬菜」降膽固醇還抗癌?癌醫曝防復發飲食
達文西手術穩分離,肺節切除順利未出血損傷
所幸仁愛與長庚醫療體系聯盟醫院積極引進達文西機器人手術系統,提供穩定的操作及清晰的手術視野,讓外科醫師如虎添翼。
透過達文西手術穩定且精細的操作優勢,醫療團隊順利將吳先生的橫隔膜與肺臟分離,並完成肺節切除手術。術中並未發生常見的出血或肺破損問題,展現了微創中的微創技術優勢。
吳先生恢復狀況良好,術後第二天就拔除了胸腔引流管,第三天便順利出院返家休養。
幸運發現第一期肺癌 手術根除免化療預後佳
廖啟耀主任說明,吳先生非常幸運,因治療肝癌期間接受詳細追蹤檢查讓他得以及早發現病灶,證實為第一期肺癌。因為經過精確的手術切除後已將腫瘤完全清除,後續無需再進行放射治療或是化學治療。目前他的肝癌治療也相當順利,整體預後情形十分良好。
廖啟耀主任強調,達文西手術能幫助病人減少過往手術常見的問題,特別是對病情複雜且困難的病人,更是外科醫師的最佳選擇。透過高品質且低侵襲性的手術照護,不僅創造更優秀的醫療環境,也幫助病人獲得更好的治療效果與生活品質。
看更多:一年救3351個家庭、癌友少花117萬!癌症新藥基金2026年拚百億續命
◎ 圖片來源/仁愛長庚合作聯盟醫院提供
◎ 諮詢專家/廖啟耀醫師

























































