眼底有「新生血管」 是好?還是不好?

當聽到醫生說眼睛裡有「新生血管」時,千萬別高興得太早,這並不是代表還年輕或是重獲生機的意思,相反的,當眼睛出現「脈絡膜新生血管」,是表示黃斑部的病情已經惡化的情形。

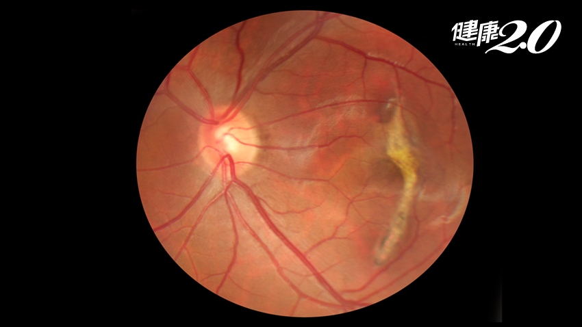
示意圖/TVBS
隨著年齡增長脈絡膜血管硬化,及光線對黃斑部的慢性傷害,使得視網膜與脈絡膜代謝功能失調,養份與廢物傳送能力降低,這時,由於視網膜下色素性上皮功能不良,在組織病理學上,可以看到阻隔色素性上皮與脈絡膜的「間膜」上有脂蛋白沈積,這類的沈積物就會造成所謂的「隱結」。
嚴重時,功能不良的間膜不能阻止脈絡膜的血管往視網膜増生。這種由脈絡膜增生至視網膜的血管,就是所謂的「脈絡膜新生血管」,也就是「濕性黃斑部病變」。
新生血管增生 視力惡化的開始

3 秒獲得專屬健康心法
挑選您關心的主題
馬上掌握精選內容
由於這種新生血管管壁極為脆弱,容易造成出血,當有新生血管增生時,病患會覺得影像扭曲變形,一旦新生血管破裂出血,血液覆蓋在視網膜黄斑部上,就會影響視力,且80%會導致失明。
因此,當眼底長出脈絡膜新生血管,在臨床上代表了一個嚴重度升級的分水嶺。脈絡膜新生血管長入視網膜,會使得視網膜感光細胞無法平整的排列,造成感光細胞受光後產生凌亂的影像,這時病患就會感覺影像扭曲,直線看成曲線,這與病變初期沒長新生血管時,視力只是灰灰暗暗的但勉強還能看,有著極大的不同。
此外,當黃斑部病變沒有長出新生血管時,病患或許覺得視力並不理想,可是改變並不會明顯,可是一旦黃斑部長出新生血管,視力不僅不理想,而且還不穩定,一旦出血,視力會急速下降。
黃斑部病變不治療恐失明
對老年性黃斑部病變而言,約有15%的病患會形成脈絡膜新生血管,這些病患不加治患,最後80%會造成嚴重視力喪失;黃斑部病變最後造成失明的病患,約有90%是因脈絡膜新生血管所造成的。
也就是說,黃斑部病變不一定會有脈絡膜新生血管生成,但這僅約17/的病患形成新生血管時,殘酷的事實是其自然病程大多數都會失明。
濕性黃斑部病變脈絡膜新生血管不加以治療,病程會逐漸變壞,預後非常不好。因此不論脈絡膜新生血管是由老年性、高度近視性或自發性黃斑部病變所造成,偵測與診斷出脈絡膜新生血管是非常重要的。
◎撰文/中國醫藥大學新竹附設醫院眼科主任陳瑩山
◎記者/曾金月整理 ◎ 圖片來源/達志影像/shutterstock提供
相關文章
幹細胞療法新突破!「視網膜修復再生」可望治療青光眼、黃斑部病變 ...







3 秒獲得專屬健康心法
挑選您關心的主題
馬上掌握精選內容
















































