女童狂咳不是黴漿菌肺炎!醫直覺「怪怪的」抓1病灶恐變癌
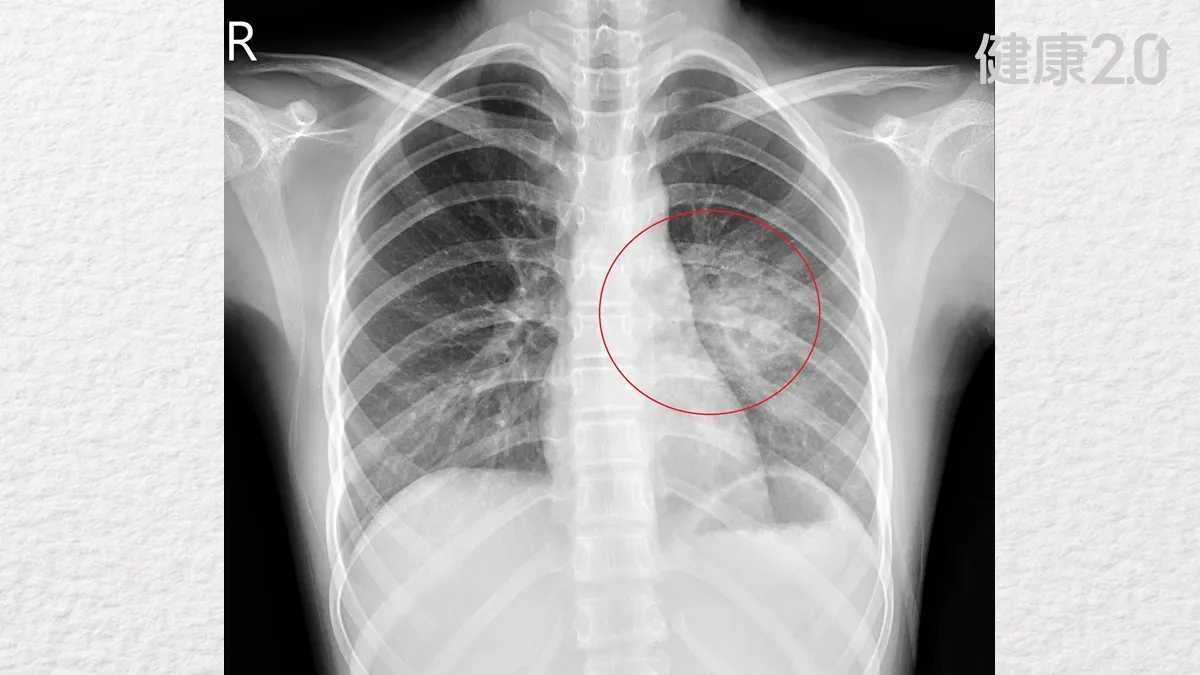
一名12歲張姓女童日前因狂咳住院治療,期間反覆持續高燒,原本評估是黴漿菌引發肺炎,但經過詳細檢查後,醫師發現女童肺部竟有一顆3公分的囊腫。後來證實女童罹患罕見的「先天性肺氣道畸形」(CPAM)。為了降低囊腫癌化風險,醫師建議採用微創胸腔鏡手術切除,術後女童恢復良好,家人才鬆了一口氣。
先天性肺氣道畸形的成因與症狀
亞洲大學附屬醫院胸腔外科主治醫師劉柏毅表示,「先天性肺氣道畸形」是一種在胎兒時期就已悄悄存在的肺部異常。因為肺組織局部出現不正常的增生與分化,形成囊泡或腫塊,使得該部分肺功能失常,甚至可能壓迫正常肺葉,影響孩子出生後的呼吸能力。
這類肺部結構異常大多能在懷孕中期透過例行檢查發現,但也有部分病灶體積較小、症狀不明顯,直到孩童長大後,因其他疾病接受胸部影像檢查時才被意外發現。像這名女童就是因為住院期間安排X光檢查,兒科主任陳傑賀看報告時察覺有異,經討論並反覆確認,才證實是CPAM肺部囊腫。
看更多:何妤玟感染「行走的肺炎」咳出血絲!4大症狀當心嚴重感染
微創胸腔鏡手術切除囊腫 降低感染與癌化風險
考量囊腫可能隨著年齡增長出現感染風險,甚至少數類型具有惡性變化的可能性,醫療團隊在評估後,建議安排微創胸腔鏡手術切除。劉柏毅指出,這種手術不僅傷口小、恢復快、術後併發症少,只要手術順利,患者的肺功能多半能完全恢復,未來生活幾乎不受影響。女童在術後兩天就出院返家,已經準備下個月全家環島旅行。
看更多:余忠仁接掌台大醫院 高EQ醫界力挺!「顧肺」怎麼做他有教
CPAM的臨床表現與嚴重度分類
劉柏毅提醒,CPAM的臨床表現與病灶大小、位置有關,且根據囊腫大小及組織型態也有不同嚴重度分類。部分病童出生後呼吸順暢、沒有明顯異狀,直到因其他感染或不明原因咳嗽、喘鳴,就醫拍攝X光或電腦斷層時,才赫然發現肺部異常結構。也有部分新生兒在出生後即出現呼吸窘迫、臉色發白、哺乳困難等現象,需立即插管治療。
及早手術切除CPAM 讓寶寶健康成長
由於CPAM日後癌化風險高,劉柏毅表示,多數醫療團隊會主張儘早進行預防性手術,尤其建議在一歲左右完成切除。他提醒,若家中寶寶曾在產檢中被發現肺部有異常結構,務必持續追蹤,評估是否需進一步處理。至於孕婦也毋須過度擔憂,一旦被告知胎兒可能有CPAM,可提前與外科醫療團隊溝通預作準備,同樣可以讓新生兒順利健康長大。
看更多:降血脂、減重、抗發炎!這款超級食物廚房就有 讓免疫從暴走變自律
◎ 圖片來源/亞洲大學附屬醫院提供
◎ 資料來源/亞洲大學附屬醫院


























































