LDCT肺癌篩檢立大功!68歲男意外揪「沉默殺手」7公分胸腺瘤撿一命

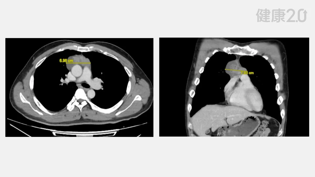
因為符合國民健康署的低劑量胸部電腦斷層掃描(LDCT)篩檢資格,68歲的陳先生前往仁愛長庚合作聯盟醫院接受肺癌篩檢。沒想到竟意外在縱膈腔內發現一顆約7公分的大腫瘤。
陳先生很驚訝,因為他沒有任何胸悶、咳嗽或呼吸困難等症狀,仁愛長庚合作聯盟醫院放射診療科莊芝林主任指出,影像學檢查已顯示這顆腫瘤極可能是胸腺瘤。他說,這類腫瘤若不即時處理,可能壓迫心臟、氣管等重要器官,後果不堪設想。
面對巨大的胸腺瘤,醫療團隊決定採用先進的第四代達文西機器人手術系統。該院胸腔及心臟血管外科廖啟耀主任表示,胸腺位於胸骨後方、心臟前方,周圍環繞著多條重要血管與神經,傳統手術需大範圍開胸,傷口長達20-30公分,對病人負擔極大。
看更多:國中女胸悶半年驚見大腫瘤 醫嘆罕見 勸家長別輕忽孩子「這症狀」
達文西機器人手術微創精準切除
達文西機器人手術僅需三個微小切口,最大傷口僅3公分。其機械手臂具有高靈活性與放大3D視野,讓醫師能在不傷及周圍重要組織的情況下,精準剝離並完整切除腫瘤,大大降低了手術風險與創傷。
術後恢復超快速!兩天出院,生活品質不打折
廖啟耀主任分享,仁愛與長庚醫療體系聯盟醫院近年積極引進達文西機器人手術系統,並成立微創暨達文西手術中心,致力提供高品質、低侵襲性的手術照護。陳先生術後僅有輕微疼痛感,無需大量止痛藥,肺功能也保留良好。
而且陳先生術後第二天就能出院,他也感覺不可置信,做這麼大的手術竟然完全沒有影響正常生活,很驚嘆達文西微創手術能如此加速康復,讓他迅速重拾健康生活。
看更多:肺癌公費篩檢3年 早期檢出逾8成 權威醫:50歲以上都應受檢
LDCT篩檢不只抓肺癌,更助揪出潛藏病變
廖啟耀主任提醒,胸腺瘤多為良性,但若不處理可能逐漸長大,壓迫周邊器官。根據文獻,約30%的胸腺瘤可能與自體免疫疾病如重症肌無力有關,因此定期健康檢查至關重要。
他也呼籲符合政府肺癌篩檢補助計畫資格的民眾,務必把握機會接受檢查,及時揪出病灶。陳先生的案例證明,國健署推動的LDCT肺癌篩檢計畫,不僅能有效偵測早期肺癌,更能協助發現其他潛藏的無聲病變,展現微創醫療和篩檢政策相輔相成的優勢。
達文西手術提升治療效果與生活品質
廖啟耀主任強調,陳先生的病例不僅彰顯早期篩檢的重要性,更展現了微創科技的應用成果。隨著醫療技術的進步,達文西機器人手術系統將在未來醫療中發揮更大的作用,幫助病人獲得更好的治療效果與生活品質。
看更多:他肺部長1.2公分不規則結節!不開刀靠這樣神奇縮小 5招防肺部癌變
◎ 圖片來源/仁愛長庚合作聯盟醫院
◎ 諮詢專家/廖啟耀醫師.莊芝林醫師


























































