車禍僅胸部瘀青?她肋骨竟斷3根「插破肺」險死 醫示警:出現2症狀快就醫

台中一名23歲年輕女性騎機車發生劇烈衝撞,雖然胸部外觀看起來僅像一般挫傷、瘀青,但送醫卻發現,肋骨斷了3根,甚至插入肺臟,所幸經緊急手術後才撿回一命。醫師提醒,車禍或撞擊後感到胸口悶痛,或是感覺呼吸稍微不順,即便沒有明顯外傷,應立即就醫,以免錯失黃金搶救時機。
外觀僅瘀青卻是「奪命血胸」
這名女性車禍後送到平等澄清醫院急診室時,意識尚清楚,僅主訴右胸疼痛。然而,急診醫師在觸診時發現疼痛感異常明顯,且右側呼吸音不對勁,直覺「案情不單純」。
在檢查後赫然發現,右側胸腔已出現中量積液,懷疑是內部出血所致。進一步檢查證實,患者正面臨致命的「血胸」及多發性肋骨骨折,情況危在旦夕。
看更多:急診醫魂燃燒!北捷災難現場暖醫父女檔 聚餐變救人 市長尋人致謝
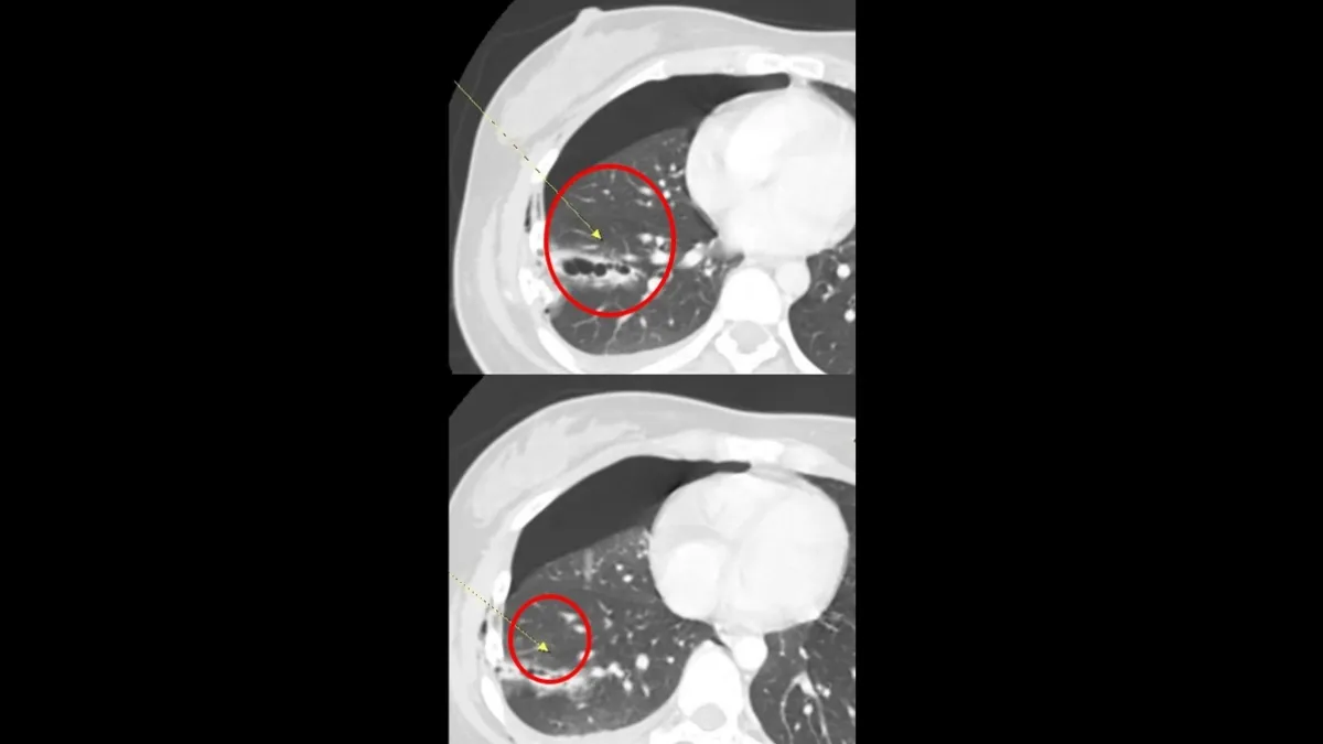
體內如「溫水煮青蛙」 肋骨斷裂插肺險奪命
澄清醫院胸腔外科主任杜承哲指出,胸腔損傷最怕的就是「溫水煮青蛙」,外表看似無大礙,內部卻在持續出血。這名病患經電腦斷層掃描確認,第5至7節肋骨骨折,其中有兩節直接插入肺組織,導致肺臟破裂。
隨著胸腔內積血持續增加,嚴重壓迫肺部擴張,若單純引流恐無法止血。醫療團隊評估,若不立即處理,患者隨時可能因呼吸衰竭或休克而危及生命,決定立即進行手術。
看更多:車禍肋骨斷6根 傳統治療要修養2、3個月,新式固定術3天無痛出院
微創精準固定手術救援
為了穩定病情,杜承哲採用精準內固定手術,透過內視鏡微創技術進入胸腔,精確鎖定骨折處和出血點,迅速清除積血並修補受損肺臟;隨後針對斷裂肋骨使用專用骨板進行固定,重建胸廓穩定度。患者日前已康復出院,重返正常生活。
平等澄清醫院急診室主任張維恆表示,外傷醫療是一場與死神拔河的接力賽。從急診的初步敏銳判斷、影像診斷的精確分析,到外科手術的即時介入,每個環節都必須緊密配合、無縫接軌,才能成功挽救寶貴的年輕生命。
看更多:睡前按摩這兩穴位!64歲失眠7年 中醫這招讓她10分鐘入睡
◎ 圖片來源/平等澄清醫院
◎ 資料來源/杜承哲醫師.張維恆醫師






















































