術後疤鼓起來 76歲翁以為癌症復發,原來是腹壁切口疝氣!醫曝發生率高達3成

腫瘤手術的地方鼓鼓的,難道是癌症復發?76歲的程先生多年前因腹腔腫瘤接受傳統開腹手術,術後追蹤狀況一直很穩定。近期他發現手術疤痕上方逐漸隆起,尤其在咳嗽或搬重物時腫塊特別明顯,平躺時卻又消失,他擔心是腫瘤復發,急忙就醫檢查。醫師精確檢查確定非癌症復發,而是腹部手術常見的併發症腹壁切口疝氣。
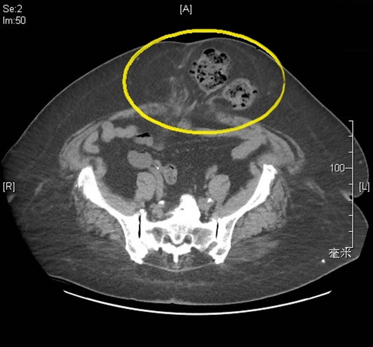
什麼是腹壁切口疝氣?術後發生率最高達3成
土城長庚醫院一般外科主任黃崧峰指出,腹壁切口疝氣是腹部手術後常見的併發症之一。根據統計,曾接受傳統開腹手術的患者中,發生率約佔10%到30%。其主要成因是腹壁的筋膜或肌肉層在術後未能完全癒合,導致腹腔內的腸道或脂肪組織經由這個缺口向外突出,進而形成在皮膚表面可觸及的腫塊。
造成這種現象的原因非常多元,除了手術本身的種類與複雜度外,高齡、肥胖、營養不良以及術後傷口發生感染等,都是高風險因子。黃崧峰主任進一步說明,如果患者長期患有慢性咳嗽、便祕,或是頻繁用力造成腹內壓升高,也會增加腹壁缺口的壓力,使得疝氣問題更加嚴重。
疝氣不只是美觀問題!延誤治療恐引發腸壞死命危
許多患者像程先生一樣,起初以為只是外觀上的異樣或單純發胖。但黃崧峰醫師嚴正提醒,腹壁切口疝氣若未及時治療,病灶可能會隨時間惡化。最嚴重的狀況是引發腸嵌頓,也就是腸子卡在缺口無法退回,進而導致腸阻塞甚至腸壞死。這屬於外科急症,具有高度危險性,絕對不可輕忽大意。
看更多:「疝氣」誤解大解密!4種人是高風險族群 瘦子也會有疝氣危機
傳統的疝氣修補手術通常需要再次切開較大的傷口,這不僅會帶來明顯的術後疼痛,恢復期也相對漫長,且未來仍有較高的復發風險。隨著醫療技術日益精進,目前的治療方式已大幅多樣化,醫師會根據患者的病史、腹壁肌肉強度及疝氣缺口的大小,評估最適合的個人化治療方案。
達文西修補術精準復原!健保給付大幅減輕負擔
自2024年9月起,達文西疝氣修補手術已正式納入健保給付範圍,這對患者來說是一大福音。達文西機械手臂手術具備高解析度的3D立體影像及靈活精準的操作優勢,醫師能在狹小的腹腔空間內,完成高精度的縫合與人工網膜固定。這種術式特別適合曾多次手術或腹腔沾黏嚴重的患者,能顯著減少組織破壞並降低復發率。
看更多:超模穿緊身褲竟疝氣住院!氣功大師也中招 醫:腹壓上升很危險
程先生在了解治療選項後,選擇接受達文西修補手術。手術僅透過三個微小孔洞便完成縫合與人工網膜置放。相較於傳統手術,程先生術後當天即可下床活動,疼痛感大幅減輕,傷口也癒合得相當迅速。這種微創術式不僅縮短了住院時間,更讓高齡患者能更安心地重拾生活品質。
留意身體發出的警訊!發現疤痕異狀應儘速就醫
黃崧峰主任最後提醒廣大民眾,腹壁切口疝氣並非單純的疤痕修復問題。若發現過去手術的疤痕處有反覆鼓起的現象,且在站立、用力或咳嗽時不適感加劇,應儘早前往一般外科就醫檢查,以免錯過黃金治療時機。透過與醫療團隊充分討論,患者可以選擇兼顧安全性與快速恢復效果的方案,平安找回健康。
看更多:「1病」常被誤診又併發症風險高!女性發生比例還高於男性
◎ 圖片來源/土城長庚醫院提供
◎ 資料來源/黃崧峰醫師


























































