糖化血色素達標竟罹癌王!52歲男腹痛揪出胰臟癌 醫揭3大致命警訊

以為血糖達標就沒事?台中1名52歲男性確診糖尿病5年來,糖化血色素始終維持在6.5%以下。近期他因持續腹部悶痛就醫,竟意外發現胰臟長了3.5公分的腫瘤。台中平等澄清醫院內分泌科主任林幸宜示警,糖尿病與胰臟癌具雙向關係,若出現「無家族史卻在50歲後發病」等3大警訊恐是癌王突襲,呼籲糖友除了驗血更應定期進行6大檢查。
血糖控制好仍罹癌?醫揭胰臟癌與糖尿病「雙向關係」
明明糖化血色素控制得很好,為什麼癌王還會找上門?林幸宜指出,胰臟癌早期症狀極不明顯,且缺乏特異性診斷指標。值得注意的是,糖尿病與胰臟癌的關係十分複雜,在臨床上呈現雙向影響:
- 長期風險:罹患糖尿病超過5年的患者,其罹患胰臟癌的風險會增加約2倍。
- 早期徵兆:約有3成至4成的胰臟癌患者,在確診癌症的前兩年內會突然確診糖尿病,醫學上稱為「胰源性糖尿病」。
看更多:32歲男「1習慣」竟糖尿病!醫警告:40歲前糖尿病更狠 器官恐提早壞掉
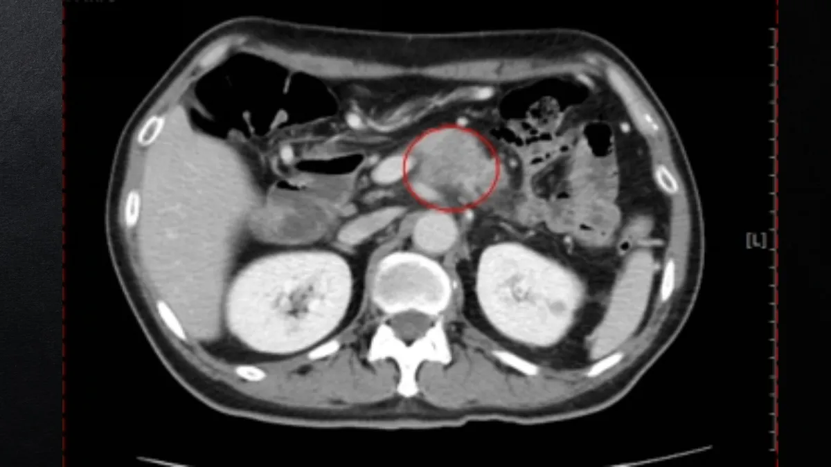
超音波照不到胰臟?醫揪3大危險警訊應做電腦斷層
林幸宜表示,該名52歲患者因持續腹部悶痛、飽脹感且進食量減少而就診。抽血發現腫瘤標記CA19-9高達718.92u/ml(正常值小於37u/ml),由於胰臟腫瘤位置較深,常受腸胃道氣體阻擋導致腹部超音波產生盲點,最後經由腹部電腦斷層檢查,確診為3.5公分的胰臟癌。
林幸宜建議,若民眾出現以下3大關鍵特徵,應提高警覺,必要時結合電腦斷層或核磁共振進行確診:
- 50歲後初發:無家族史,卻在超過50歲突然確診糖尿病。
- 血糖異常失控:原本穩定的血糖突然異常難控,糖化血色素短時間內飆升,如這名52歲男性從6.5%暴增至9.0%。
- 伴隨不明症狀:出現不明原因的體重突降、持續腹部悶痛或進食量減少。
看更多:老翁天天狂吃水果竟變糖尿病前期!醫曝1習慣養出脂肪肝:這時間別吃
別只顧著驗血糖!醫籲糖友必做「6項常規檢查」防漏網
「不是只有糖化血色素控制好,就不會有其他疾病發生。」林幸宜語重心長地提醒。對於長期糖尿病的患者(不論第1型或第2型),除了控制糖分,定期的全身性健康檢查絕對不可少。
林幸宜強調,糖尿病的慢性病照護是整體的,必須與醫師密切合作,定期進行以下6項生化與器官追蹤:
- 肝功能檢查
- 腎功能檢查
- 血脂肪檢查
- 腹部超音波
- X光檢查
- 眼睛視網膜篩檢
看更多:滴血辨胰臟癌風險!台大x中研院開發PanMETAI系統 破解癌王魔咒
最新研究證實:血糖達標降57%罹癌風險 術後存活率更高
雖然良好的血糖控制不能保證絕對不罹癌,但卻是保命的關鍵底氣。林幸宜引述2025年9月1項針對46萬名糖尿病患者長達近10年的追蹤研究指出,血糖控制良好(糖化血色素小於7%)的患者,罹患胰臟癌的風險大幅降低57%;反之,糖化血色素每升高1%,風險就增加46%。
此外,2025年3月另一項針對225名胰臟癌患者的研究也證實,術前血糖值較高的患者,不僅總存活期明顯縮短,術後併發症發生率也隨之增加。因此,糖尿病友除了定期全身性健檢,保持良好的血糖控制至關重要,不僅有助降低罹癌風險,也能在不幸罹癌時減輕併發症並提高存活率。
看更多:水果太甜不敢吃?醫破迷思:吃對「這3種」空腹血糖反降8.38
◎ 圖片來源/林幸宜醫師提供
◎ 諮詢專家/林幸宜醫師




















































