
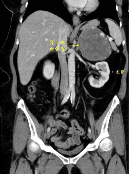
60歲的蔡女士最近覺得上腹悶悶的、脹脹的,因此到台北慈濟醫院胃腸肝膽科就診,沒想到一檢查竟發現腎臟上緣有顆如芒果大、10公分的大腫瘤。後來證實為極罕見的「良性腎上腺血管瘤」,全球僅60例病例報告。雖然此腫瘤為良性,但是腫瘤很大,如果不慎撞到破裂,恐引起大出血危機,醫師說蔡女士真是太幸運,能及早發現。
蔡女士有輕微高血壓及糖尿病,但是多年來持續服藥,控制很良好,覺得自己還挺健康的,身體都沒什麼大問題。因此日前她發現上腹部悶悶脹脹的,看很多醫療新聞,都說上腹部悶脹感是不太好的症狀,就趕快就醫,沒想到醫師檢查,在超音波檢查下,還真的發現她的左側腎臟上緣有一顆10公分的大腫瘤。
看更多:男星耳鳴兩天竟出現顏面神經麻痺 醫師提醒這些症狀要小心
因為腎上腺腫瘤問題大,醫療團隊擔心有惡性風險,趕快將她轉介給泌尿科游智欽醫師,醫師以腹腔鏡手術,將蔡女士如芒果大的腫瘤,連同腎上腺一同摘除。進一步化驗,發現蔡女士的腫瘤是全球只有60個病例報告、極罕見的良性腎上腺血管瘤。所幸此腫瘤為良性,蔡女士在術後3天便平安出院,恢復也很順利,日後只需定期回診追蹤即可。

游智欽說,腎上腺腫瘤有分為「功能性腫瘤」和「非功能性腫瘤」。功能性腫瘤常見於嗜鉻細胞瘤患者、原發性醛固酮症、庫欣氏症候群,通常患者會有高血壓、低血鉀、水牛肩、月亮臉等症狀。非功能性腫瘤因為不會影響到身體功能,所以沒有症狀。一般都只有2、3公分,如果超過4公分就會建議手術,並評估惡性或轉移的可能,因此像蔡女士般大到10公分的良性腫瘤極為少見。
看更多:台灣乳癌40年增7倍 乳癌怎麼看、怎樣摸?醫師手把手教您天天「自摸」
雖然蔡女士的是血管增生引起的血管瘤,是良性的沒有轉移問題。但是腫瘤大到10公分,因為其血管豐富,若不慎撞到或是跌倒,可能造成血管瘤破裂,導致嚴重內出血,危及生命。因此游智欽在會診新陳代謝科抽血、驗尿,確定蔡女士的醛固酮、腎上腺皮質醇與腎上腺素等數值都正常、排除功能性特殊腫瘤的風險,安排電腦斷層,確定腫瘤沒有侵犯周圍器官進行手術。
內視鏡手術只在病人上腹、肋骨下緣開兩個0.5-1公分切口,將手術器械伸入體內將腫瘤與周邊組織分離,最後,從腹部前側切一5公分切口,取出腫瘤。 雖然左側腎上腺一併切除了,但她的右腎上腺仍可分泌醛固酮、腎上腺皮質醇、腎上腺素等重要激素、維持水分鹽分平衡、血壓等生理需求。
看更多:楚留香名導5月開新戲才發現胃癌,短短3個多月病逝 胃癌這特性很難早發現
◎ 圖片來源/台北慈濟醫院提供
◎ 資料來源/台北慈濟醫院
→字體放大好閱讀,收藏文章更便利!點我下載【健康2.0 APP】
→健康資訊不漏接!點我加入【健康2.0 LINE好友】【FB粉絲頁】
本網站使用 Cookies 以便為您提供更優質的使用體驗,若您點選下方「我知道了」 或繼續瀏覽本網站,即代表您同意我們的 Cookies 政策,欲瞭解更多資訊請見隱私權政策。