搜尋結果
專家觀點
看更多
共 13 個結果
共 49 項結果
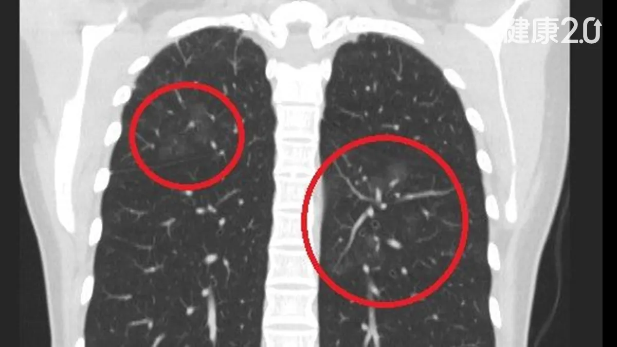
健檢發現肺結節快手術?醫建議多評估 有機會用「這種藥」就能清除免挨刀!

...為國內有過度手術現象肺癌堪稱是新國病,政府近年鼓勵民眾定期做低劑量電腦斷層掃描(LDCT),針對肺癌及早發現、及早治療。胸腔內科醫師蔡俊明...
63歲吸菸男LDCT檢查正常 1年多突冒5.5cm腫瘤肺癌末期

...3歲黃先生年紀不算大,但菸齡長達40年,符合國健署提供的公費低劑量電腦斷層掃描(LDCT)肺癌篩檢的高危險群身分,1年多前他前往醫院檢查,...
得過「這種病」罹肺癌風險飆200倍!動刀如拆彈 不小心會大出血

...議,女性如有肺癌家族史或是發現肺部有結節,應該每年做1次肺部低劑量電腦斷層掃描,若發現不對才能及早治療。 謝義山提醒,肺癌早期症狀不明顯,...
不抽菸也得肺癌真相曝光?國際權威研究:台灣人「這個」習慣也中!

...肺癌篩檢納公費!早期發現、早期治療為守護國人健康,國健署已將低劑量電腦斷層掃描(LDCT)納入第五癌篩檢,提供具肺癌家族史或重度吸菸者公費...
擔心肺癌照X光保平安沒用!他每年照 會喘才驚見「滿天星」

...科醫師蘇一峰提醒,想用X光檢查有沒有肺癌並不準確,還是應該做低劑量電腦斷層掃描(LDCT)。 老菸槍逃避照LDCT 發現肺癌已成末期台北市...
低劑量電腦斷層掃描 相關搜尋































































