搜尋結果
共 0 項結果
抱歉,查無結果,請試試其他關鍵字。
干貝牛肉 相關搜尋
醫療快訊
看更多
2026最新「血脂治療指引」出爐!別等中風才檢查 這類人2歲就要驗血脂

2026年最新血脂治療指引正式出爐,這份由醫學界發布的重要文件,將焦點鎖定在如何更有效降低動脈粥狀硬化心血管疾病的風險,
長期吃褪黑激素竟「心臟衰竭」?醫提醒:助眠產品「亂用」恐釀禍

睡不著就吞褪黑激素?美國最新研究發現,長期服用褪黑激素恐增加心臟衰竭風險。醫師指出,失眠其實不是大腦煞車壞掉,而是「油門
台灣傑出女科學家獎揭曉!張智芬奪傑出獎 程吉安棄高薪投身科研發光

第19屆「台灣傑出女科學家獎」公布得主,表揚女性科學家在醫學與生命科學領域的研究成果。今年最高榮譽「傑出獎」由台大醫學院
不用裝鼻胃管!長庚3D列印科技4小時搞定,68歲婦告別插了8年的鼻胃管

「我以為鼻胃管人生就是一輩子了,沒想到還有脫離它的一天!」68歲的廖女士激動地分享這份喜悅。廖女士曾因鼻部淋巴癌接受放射
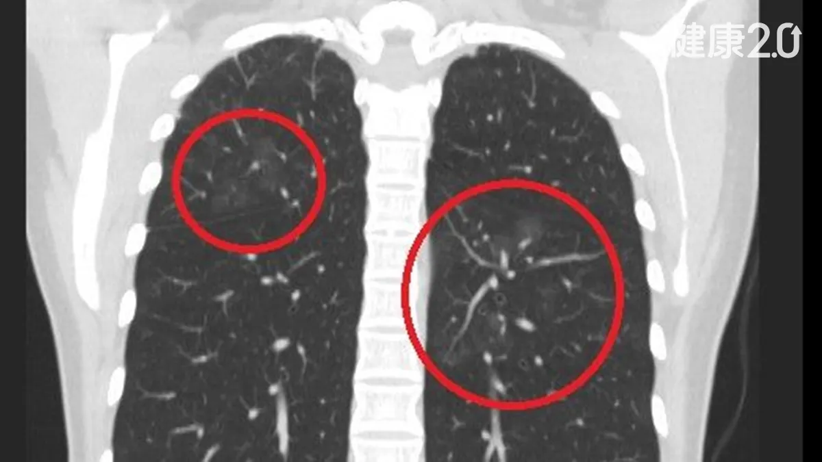
健檢發現肺結節快手術?醫建議多評估 有機會用「這種藥」就能清除免挨刀!

肺癌名列113年國人10大癌症死亡人數第一名,而且有逐年增加的趨勢,不少有肺結節的民眾為預防變成肺癌,急著開刀切除,不過
牙痛竟是心肌梗塞徵兆?醫師:更年期後血管風險飆3倍 做1運動防猝死

莫名牙痛竟是心臟求救信號?萬芳醫院醫師示警,女性停經後雌激素下降,心血管疾病風險激增3倍,且徵兆常非典型,易因忍耐延誤就
人氣排行榜


















































