搜尋結果
專家觀點
看更多
共 5 個結果
共 100 項結果
6旬男胃酸噴發!吃藥像「門縫塞布」沒用 醫示警:修好門框才能斷根

...腹部有灼熱感(火燒心)。胃酸或食物逆流至口腔、喉嚨。持續性上腹部疼痛。感到噁心想吐。症狀嚴重影響夜間睡眠。需反覆服用成藥才能緩解...
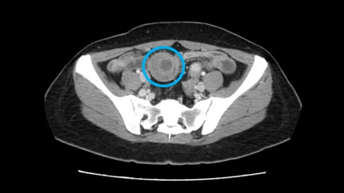
腹痛月餘莫輕忽!45歲女小腸如望遠鏡「套疊」 竟是罕見腫瘤作怪

...標靶徵象」平等澄清醫院一般外科醫師王志浩表示,王姓婦人因持續腹部疼痛與胃痛,並伴隨明顯的腹部飽脹感,曾多次前往不同診所求醫並嘗試...
53歲日本主播曾抗癌成功卻突消化道出血亡,醫揭胰臟癌「癌中之王」真面目!

...出現,不可輕忽。 高警覺性症狀(占六至七成):腹痛:上腹部或腹部疼痛。黃疸或茶色尿:若胰臟癌長在胰臟頭部,靠近膽管,可能造成阻塞...
徐湘華常吃這款止痛藥害慘胃!胃竟出現6個潰瘍 醫警告這成分最傷胃

...風險。 胃潰瘍別拖 嚴重恐休克、腹膜炎雷尉毅提醒,如果發生上腹部疼痛,尤其是在空腹或夜間時,很可能是典型的胃潰瘍症狀,最好就醫接...
「ICU搶救12小時不治」謠言亂傳,蔡小虎澄清 但坦承身體出狀況

...將再做健康檢查雖然蔡小虎已經恢復,但最近他又感到和當年一樣的腹部疼痛,還有些想吐的感覺,他擔心腸胃又有沾黏現象,決定要再去做一次...
腹部疼痛 相關搜尋























































