太幸運了!腫瘤竟然自行消失不見,國內出現罕見案例

2022/04/12 10:48 更新
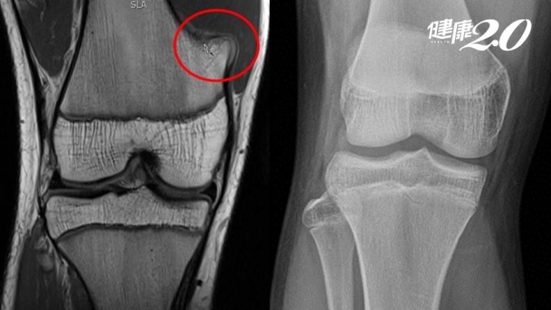
花蓮門諾醫院發表一例相當罕見的腫瘤消失個案。一名16歲的青少年,2年前右膝疼痛,檢查發現為3公分大的良性骨軟骨瘤,建議觀察追蹤即可;日前因打籃球引起雙側腳踝疼痛,再度回診追蹤,竟發現腫瘤消失不見,
廣告之後還有更多精彩內容
廣告之後還有更多精彩內容

▲紅圈處為骨軟骨瘤,經過2年自行消失。
收治個案的花蓮門諾醫院骨科主治醫師蔡傳恩指出,患者因腳踝疼痛回診,懷疑是骨軟骨瘤作祟,安排X光檢查發現,雙側腳踝並無明顯異常,且原本在右側遠端股骨的骨軟骨瘤竟然消失不見,讓本人及媽媽都非常高興,覺得真是太幸運了。
廣告之後還有更多精彩內容
廣告之後還有更多精彩內容
為什麼骨軟骨瘤會慢慢消失?
蔡傳恩表示,目前國際上發表的案例都是零星個案,曾有學者統計回顧,於1960到2014年間,國際上約有23篇骨軟骨瘤自行縮小消失的案例,其中發生在遠端股骨的案例有14位,以男性居多。
蔡傳恩說明,骨軟骨瘤自行消失的原因,可能是骨骼成熟的過程中,腫瘤融合到生長中的骨骼內部,或是可能腫瘤遭受外傷、甚至骨折,影響腫瘤的血液供應,或是腫瘤受到旁邊的假性血管瘤的影響等。

3 秒獲得專屬健康心法
挑選您關心的主題
馬上掌握精選內容
免費使用,無需註冊
依你興趣推薦專屬文章
骨軟骨瘤是最常見的良性骨腫瘤,又稱為「骨疣」。蔡傳恩指出,骨軟骨瘤雖然大部分是良性腫瘤,除非腫瘤明顯變大,或是出現疼痛、異物感、活動受限等症狀,才建議考慮手術切除。其中,約有1%會轉變成惡性腫瘤,建議患者定期追蹤;若有疼痛加劇或腫塊變大,應盡速回診追蹤。
◎ 編輯/郭庚儒報導 ◎ 圖片來源/花蓮門諾醫院 提供
廣告之後還有更多精彩內容
廣告之後還有更多精彩內容
相關文章
癌轉移長久存活的秘訣!日醫:「這類食物」不可少,讓腫瘤惡化速度變慢
延伸閱讀

很多人不自知!早上1症狀恐是腎病警訊 太晚發現恐洗腎
2026-03-06 11:39:00

阿芳老師突曬手術照!缺一顆牙竟毀全口 假牙也會蛀牙 2招護牙更耐用
2026-03-04 15:40:00

「這動作」就能逆轉脂肪肝、遠離肝癌!醫:2種食物養出脂肪肝
2026-03-09 11:39:00

前議員突發眩暈站不穩!醫揭這種急性眩暈最常見 感冒皮蛇恐誘發
2026-03-09 16:16:00

雲林驚爆禽流感!吃雞蛋雞肉會染禽流感嗎?醫揭這種煮法最危險
2026-03-07 19:56:00

名醫林禹宏因「這種併發症」嘆生不如死!蘇一峰:3種器官移植患者重要死因
2026-03-05 12:38:00
人氣排行榜

3 秒獲得專屬健康心法
挑選您關心的主題
馬上掌握精選內容
免費使用,無需註冊
依你興趣推薦專屬文章
人氣排行榜















































