73歲老台商抗癌成功!忍8年不回診惡化成攝護腺癌 接受這治療腫瘤全消失

一名老台商8年前被診斷出攝護腺肥大和癌症指數偏高,但因工作繁忙而婉拒做切片化驗。8年後,發現攝護腺癌,且腫瘤更穿透攝護腺侵犯到膀胱。透過1治療攝護腺癌完全消失,連癌症指數都幾乎驗不到。
半夜起床內褲濕一片
這名73歲的台商頻繁往來台灣和越南,多年來,他飽受解尿不順和頻尿的困擾,但他一直認為這只是人老的現象,能忍就忍。8年前的一天,他在越南公司半夜起床解尿後回房睡覺,竟發現內褲濕了一片,才驚覺是殘尿浸濕的。返台求診後,泌尿科醫師診斷他有攝護腺肥大,也發現癌症指數偏高,建議做攝護腺切片化驗,但他卻因工作繁忙而回越南去了。
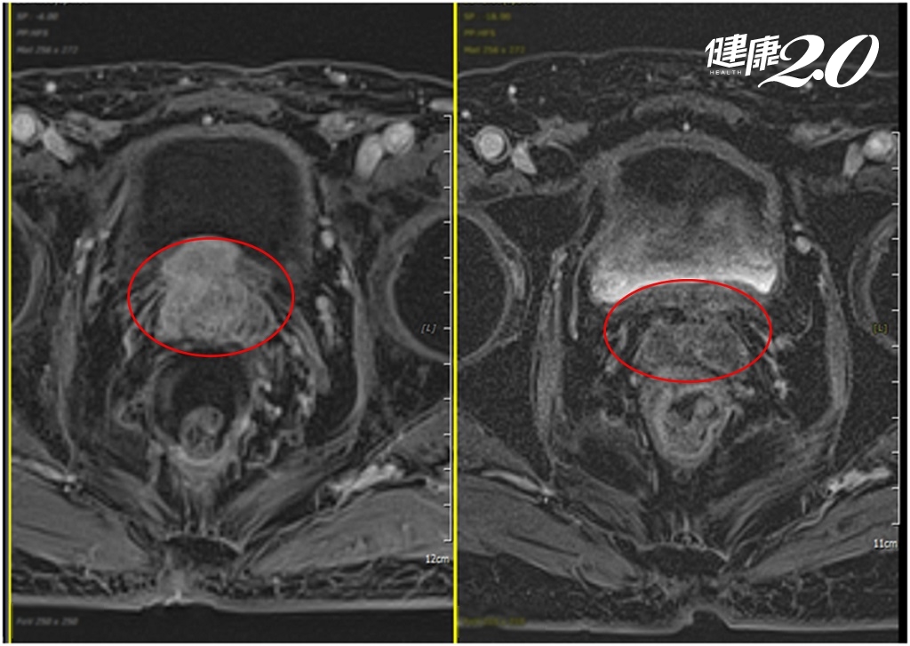
癌腫瘤穿透攝護腺侵犯膀胱
8年過去,老台商的解尿困難更加嚴重,到醫院接受攝護腺切片化驗,竟被診斷出攝護腺癌,癌症指數更高達33.667(正常值小於4)。核磁共振檢查發現,他的攝護腺癌腫瘤大小為2.2公分×1.6公分,已穿透攝護腺表膜並侵犯上方的膀胱。面對這樣的情況,他決定接受抗荷爾蒙治療和快活光子刀放射線治療。
看更多:攝護腺癌/4方法揪出攝護腺癌!6大療法當武器 達文西手術開刀最新利器
快活光子刀42次治療癌症消失
澄清醫院中港院區放射腫瘤科梁家郡醫師表示,這名患者每周接受5次快活光子刀治療,總共進行了42次。完成療程後持續追蹤檢查,今年7月的核磁共振檢查結果顯示,他的攝護腺癌已完全消失,原本被穿透的攝護腺也完整恢復,癌症指數更降到0.025,幾乎驗不到癌細胞的存在。這位老台商慶幸自己命大,決定退休好好享受人生。

3 秒獲得專屬健康心法
挑選您關心的主題
馬上掌握精選內容
抗荷爾蒙治療搭配放射線治療
梁家郡醫師指出,攝護腺癌的治療方法包括手術切除癌腫瘤和放射線治療。手術通常需要將整個攝護腺切除,術後可能還得包尿布數周,以防止暫時性尿失禁。而放射線治療的副作用則較小,患者僅會出現疲倦感。因為精準治療不會傷及鄰近器官,每天一次的光子刀治療,老台商都坐公車往返醫院和住家。
針對抗荷爾蒙治療與放射線治療,梁家郡醫師進一步解釋:
抗荷爾蒙治療是什麼?免住院施打
抗荷爾蒙治療屬於一種全身性的治療,又稱為雄性素剝奪療法(Androgen deprivation therapy, ADT),通常由泌尿外科醫師開立,施打時間為每1個月或每3個月施打一次,從肌肉或皮下注射,在門診施打即可,不需要住院施打。
快活光子刀放射線治療是什麼?迅速且精準的治療
放射線治療屬於局部的治療,藉由高能量的放線破壞腫瘤細胞的DNA,達到殺死癌細胞的目的。快活光子刀相較於傳統的放射線治療,是以先進的迅弧刀技術(微創手術工具),可以在較短的時間內,以更多的入射角度達到更加順形的治療範圍。
看更多:攝護腺肥大/攝護腺檢查全攻略!治療方式有哪些?一定要開刀治療嗎?
攝護腺癌治療效果高存活率佳
梁家郡醫師表示,這些年來,在他門診接受光子刀治療攝護腺癌的75位患者中,有高達95%以上的人攝護腺癌完全消失,5年存活率達100%。這可能是因為攝護腺癌對放射線的敏感度高,治療效果相對良好。至於少數沒有完全消失的病例,經核磁共振追蹤檢查後發現,可能是殘留的痕跡,至少沒讓癌腫瘤繼續生長。
攝護腺癌4警訊,及早發現攝護腺癌把握治療良機
攝護腺癌初期症狀與攝護腺肥大相似,包括夜尿、頻尿、解尿不乾淨、用力解尿等,好發於60歲以上的年長男性。在台灣臨床上發現,約有30%的攝護腺癌患者確診時已是第四期,癌細胞常已轉移到骨骼等部位,因而錯失治療的黃金時機。及早發現攝護腺癌並接受適當治療,才能把握康復的機會。
看更多:1治療成功縮小腫瘤 無輻射、免住院!6大難纏癌症都有效 超過千位病人見證
◎ 圖片來源/澄清綜合醫院中港分院提供
◎ 諮詢專家.資料來源/梁家郡醫師.澄清綜合醫院中港分院







3 秒獲得專屬健康心法
挑選您關心的主題
馬上掌握精選內容



















































