皮疹越抓越癢還長結節 當心「這罕病」上身!1顆發癢爆百顆 台大醫找到制癢新武器

皮癢難耐,越抓越癢,而且抓出一顆顆結節!「結節性癢疹」最嚴重可能超過100顆,只要有一顆發癢,就會向周圍擴散,患者常常抓到破皮流血,也容易引起其他精神共病;所幸,近年問世的新型藥物可望為病友緩解頑固的癢疹困擾。
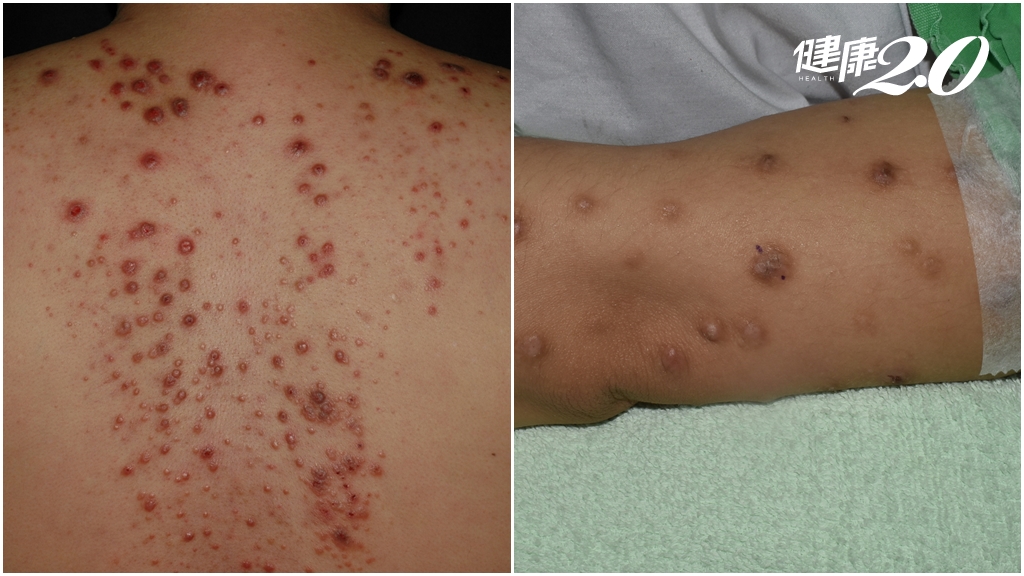
台大醫院皮膚部主任蔡呈芳說明,結節性癢疹是一種慢性皮膚疾病,好發於壯年及中老年人,病灶外觀有明顯較大、偏硬如米粒或碗豆般的顆粒狀結節,甚至融合成板塊。結節性癢疹約半數合併異位性皮膚炎體質,多數原因不明,在台灣的盛行率小於10萬分之1,被視為罕見疾病的一種。蔡呈芳說他從醫30多年來,也僅收治過約50名結節性癢疹患者。
看更多:男星2歲兒罹怪病「床上全是血」!醫揭這病每年37萬人就醫 「用對藥」別再抓呀抓
結節性癢疹「抓了才發生」 以痛止癢皮破血流
蔡呈芳指出,結節性癢疹是全身版帶狀疱疹,帶狀疱疹是感覺痛,結節性癢疹則是癢。和一般癢疹「癢感伴隨疹子」不同,結節性癢疹是「抓了才發生」,只要有一顆結節發癢,搔抓後就引爆連環的「癢彈」,其他部位開始發生癢疹,一發不可收拾。
結節性癢疹與神經系統有關,有小神經增生肥厚及纖維化的現象,因此早期稱它是「神經性皮膚炎」。由於患者常以痛感來克服癢感,時常抓得全身破皮,但越抓越癢,不但影響睡眠與日常生活,患者併發精神病症飲食障礙症、自殘、注意力不足及過動症、憂鬱、情緒障礙或思覺失調症等共病風險也較常人為高;一旦傷口反覆感染,嚴重時還可能引發敗血症。
看更多:異位性皮膚炎/致病主因是什麼?不同年齡症狀特徵大不同!診斷4重點

▲結節性癢疹病灶圖。(圖/蔡呈芳醫師提供)
生物製劑止癢新利器 健保未給付須自費
結節性癢疹的嚴重程度可依據病灶數量做區分,20顆以下為輕度,20~100顆為中度,超過100顆則屬於嚴重癢疹。蔡呈芳表示,傳統治療結節性癢疹以類固醇、冷凍治療、紫外線光療與口服免疫抑制劑為主,但都有其副作用。
為解決結節性癢疹之苦,醫藥界積極投入研究。蔡呈芳日前也在「2023年歐洲皮膚病與性病學會年會」(EADV)上發表最新研究成果,這項試驗共收錄全球150多位患者,台大則有13名患者參與。研究顯示,以生物製劑治療半年可改善皮膚搔癢與結節病灶的嚴重程度,甚至有機會讓皮膚恢復平整狀態。
看更多:單純性疱疹/為什麼老是復發?該如何照顧?1方法有助降低復發次數
◎ 圖片來源/達志影像/shutterstock.蔡呈芳醫師提供
◎ 資料來源.諮詢專家/蔡呈芳醫師
→健康資訊不漏接!點我加入【健康2.0 LINE好友】【FB粉絲頁】【下載APP】

























































