智齒沒長好竟變口腔癌 不菸不酒不嚼檳榔18歲也癌變,拔牙2週還發炎快檢查

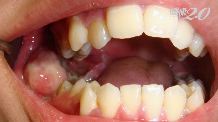
18歲的游同學下顎痛到不同,牙醫就診才發現是右下智齒無法正常生長、發炎,醫師遂為其拔掉智齒。但智齒拔完仍持續疼痛,兩個月了靠消炎止痛藥都治不好,便到台北慈濟醫院檢查,未料化驗後才發現,游同學拔智齒的發炎組織轉變成口腔癌,癌細胞擴散到整個下顎骨!
才18歲,沒吸菸也沒嚼檳榔,為什麼只是智齒長不好就得口腔癌?游同學的主治醫師,台北慈濟醫院牙科部顎面外科主任夏毅然表示,智齒生長在口腔最後方,又是最晚生成的牙齒,很容易因生長空間不足向前傾斜、無法正常萌發。
智齒問題多,長歪、過長、不好刷易蛀牙
這些長歪的智齒沒有咀嚼等功能,而且又因位置和角度不容易清乾淨,造成蛀牙、牙齦發炎、牙周病、蜂窩性組織炎等問題的機率很高,連帶危害周邊牙齒的健康機率高達81%以上。即使智齒沒長歪,但沒對應咬合的牙齒,則可能會過度萌發影響咬合,或是反覆刮傷周圍的口腔黏膜,長期下來很容易癌變。所以常會聽到牙醫師建議民眾把智齒拔掉,就是這個原因。
看更多:陳亞蘭健康亮紅燈「臉腫嘴歪」!中醫大推「1蔬果飲」反覆牙齦發炎特有效 8種食物要避開
從頸部下刀,臉上沒留疤
夏毅然評估因游同學很年輕,若是直接開刀切除會在臉上留下疤痕,恐怕影響青少年心理,因此從他的頸部下刀,翻開皮膚再切除他發生癌變的下顎骨。同時也截取他的一段小腿骨進行修補,因此游同學的臉上沒有留下任何疤痕。至今他已經追蹤到第7年,狀況非常良好,沒有復發情形。

夏毅然也提醒,智齒長歪或長不出來變成阻生齒等狀況百出,如果智齒沒長好,為避免病變,牙醫師會建議拔掉智齒。智齒拔除最佳年齡是16-25歲,因為這個時候的智齒萌發不久,牙根尚未發展成熟、齒槽骨質也較鬆軟,較容易被拔除;但拔完牙後腫痛在所難免,需按醫囑定時服用消炎止痛藥。
拔智齒臉麻別擔心
有些人拔智齒有不好的經驗,說顏面會麻痺或是感覺異常。夏毅然說,這是因為有些智齒位置太接近神經,拔除過程不免傷及神經造成顏面麻痺,不過不會影響外觀、說話及進食,一般約1-3年即可恢復,無須過度驚慌。
而有些完全深埋在骨頭裡的智齒,雖然沒有蛀牙或發炎的風險,可以暫不拔除,但也要小心有3%的機率可能會形成囊腫,也有少部份發展成口腔癌。
拔牙逾兩週發炎未緩解提高警覺
夏毅然說,近年來很多沒有吸菸、不嚼檳榔也不喝酒的口腔癌病患,檢查都跟蛀牙或拔牙關係密切。因此提醒民眾務必注意,拔牙超過兩週以上傷口沒癒合,或是發炎狀況未緩解或更惡化,都要趕快進一步檢查。
◎ 圖片來源/台北慈濟醫院提供
◎ 資料來源/台北慈濟醫院
→字體放大好閱讀,收藏文章更便利!點我下載【健康2.0 APP】
→健康資訊不漏接!點我加入【健康2.0 LINE好友】【FB粉絲頁】


























































