腎臟出現「彎刀月」,半年後恐洗腎!她積極治療拖過10年,如何做到的?

2022/04/12 10:48 更新
一旦罹患快速進展性腎絲球腎炎,高達9成患者會在半年後進入洗腎;一名70歲陳女士至今10年過去,腎功能依然正常,究竟如何做到的?
廣告之後還有更多精彩內容
廣告之後還有更多精彩內容
收治個案的中山醫學大學附設醫院腎臟科主任張浤榮指出,陳女士當年臉色蒼白就醫,才發現有貧血、泡泡尿、血尿,且腎功能指標肌酐酸惡化到肌酐酸為3.1mg/dL。
所幸,陳女士即使以免疫抑制劑積極治療,經過2個月後腎功能恢復至肌酐酸1.5mg/dL,再過半年腎功能恢復正常至肌酐酸1.1mg/dL;至今10年過去,腎功能肌酐酸維持正常在1.1mg/dL。

▲陳女士以免疫抑制劑積極治療,至今10年過去,腎功能仍維持正常。
廣告之後還有更多精彩內容
廣告之後還有更多精彩內容
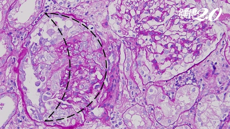
「快速進展性腎絲球腎炎」的特徵就是腎功能會迅速喪失,通常在3個月內腎絲球過濾率下降一半,且腎臟病理組織檢查可見到腎絲球中有「新月」形成。
張浤榮強調,這種「新月」並不是美麗的「中秋圓月」,而是很凶狠的「彎刀月」;如果不及時治療,高達9成患者會在半年後進入洗腎,其他特徵還有嚴重血尿及蛋白尿,更嚴重者會明顯少尿或無尿,代表預後非常差。

▲「快速進展性腎絲球腎炎」在腎臟病理組織檢查,可見到腎絲球中有「新月」。
廣告之後還有更多精彩內容
廣告之後還有更多精彩內容
3大快速進展性腎絲球腎炎
●抗腎小球基底膜(anti-GBM)抗體疾病:腎臟螢光免疫染色可見沿著腎小球基底膜的線形沉澱。
●免疫複合體沉澱:腎臟螢光免疫染色可見免疫複合體的顆粒散在性沉澱。
●無抗腎小球基底膜(anti-GBM)抗體也無免疫複合體沉澱:有時會合併咳血。
◎ 編輯/郭庚儒報導 ◎ 圖片來源/中山醫學大學附設醫院 提供
相關文章
廣告之後還有更多精彩內容
廣告之後還有更多精彩內容
延伸閱讀

女牙痛頭痛肩頸痛痛到頭皮發麻!竟是「這關節」出狀況 2招治療雙管齊下終於解疼痛
2026-04-14 20:18:00

小水泡好癢!濕熱體質易好發「汗皰疹」 這4種食物你常吃?
2021-11-08 18:30:00

防失智吃什麼?哈佛追蹤20年:多吃「這2物」大腦竟年輕4歲
2026-04-15 14:18:00

名教授失智照顧成難題!前台北市副市長歐晉德首吐心聲:「我們也不知道怎麼辦」
2026-04-02 19:00:00

陳盈潔腎衰竭人生到終點?醫揭腎衰竭5大警訊 洗腎能延壽多久
2026-04-13 16:05:00

女性最容易中!這習慣沒改 泌尿道感染恐一再復發
2026-04-14 14:18:00
人氣排行榜
人氣排行榜




















































