女性突變胖要小心,腹中恐藏腫瘤!選這種手術看不出傷口、疼痛度低

許多女性面對骨盆腔腫瘤手術,難免會擔憂腹部會留疤,屏東基督教醫院引進微創單孔腹腔鏡手術,已為20多名婦女進行卵巢囊腫、子宮肌瘤等手術,術後幾乎看不出傷口且病人普遍反應疼痛度低。
傳統腹腔鏡手術vs.單孔腹腔鏡手術
屏基婦產科主任劉士傑表示,傳統腹腔鏡手術要在腹部打3至4個小洞,而單孔腹腔鏡手術則是在肚臍裡面切開一個2~3公分的傷口進行微創手術,傷口較少,相對來說疼痛感也較少,術後恢復時間更短,住院天數也減少,提早恢復日常活動,且由於傷口藏在肚臍內,手術後幾乎看不到傷口,外觀會更為美觀。
看更多:她常吃1保健品慘罹子宮內膜癌!醫搖頭:很多人不適合吃 2大警訊快檢查
適用大多數的婦科腫瘤手術
單孔腹腔鏡手術切口引起相關併發症的機會相對來得少,目前幾乎大多數婦科腫瘤手術,例如全子宮切除、子宮肌瘤切除、卵巢腫瘤切除、子宮外孕及輸卵管結紮手術等都可用單孔腹腔鏡手術治療,不過仍須視病人個別狀況來評估最合適的手術方式。
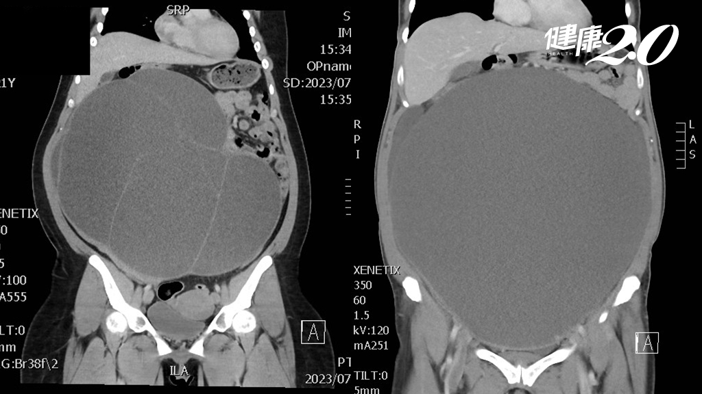
日前有兩名60歲及21歲女性都因為肚子越來越大到屏基就醫,經過超音波、電腦斷層檢查發現兩位都罹患卵巢囊腫,且腫瘤已經有30公分大小,隨後進行單孔腹腔鏡手術將腫瘤切除取出,順利出院。
看更多:子宮肌瘤/沒有症狀需要治療嗎?切除肌瘤也必須切子宮?子宮肌瘤新療法看過來

▲使用單孔腹腔鏡手術的病人,恢復快、疼痛度較低。
突然變胖要小心!腹中恐藏腫瘤
劉士傑醫師指出,卵巢囊腫經常發生在20~50歲女性身上,大部分是良性的,初期沒有明顯症狀,通常是在囊腫大到壓迫周圍器官時才感覺不適,病人多半以為自己變胖成了「小腹婆」而不在意;或感覺肚子脹脹的以為有宿便、消化不良等腸胃問題。
看更多:卵巢癌症狀有哪些?存活率是多少?前兆、預防、治療、危險群懶人包
劉士傑醫師建議,女性朋友應定期進行健康檢查,檢查項目除了婦科超音波外;也要抽血檢驗卵巢癌指標,如Ca-125、Ca-199、B-HCG等,能及早發現婦科腫瘤,別等有症狀才警覺,以免得花費大量時間與金錢治療。
◎ 圖片來源/屏東基督教醫院提供
◎ 資料來源/屏東基督教醫院
→健康資訊不漏接!點我加入【健康2.0 LINE好友】【FB粉絲頁】【下載APP】

























































