沒有胸痛竟也主動脈剝離?出現這些前兆要小心

主動脈剝離有高達45%病人發作時連急救也來不及了。不過,醫師提醒,它的症狀,除了典型的撕裂痛,也有可能以胸悶、暈厥等心肌梗塞的症狀來表現。
示意圖/TVBS
國泰綜合醫院心血管中心部主任侯紹敏指出,主動脈是身體最大動脈,負責將心臟的血液通往全身,因此若主動脈剝離,會造成全身血液供應問題,進而產生器官缺氧壞死,是致死率極高的疾病。
主動脈剝有2 種
主動脈剝離可分為A、B型兩種,A型是升主動脈剝離,這段主動脈位於心包膜腔內又靠近心臟,容易造成心包膜填塞導致休克,需要緊急手術;B型則為不包括升主動脈之外的降主動脈及其下的大血管,一般較不易破裂,可先經由內科藥物治療穩定血壓後,有逐漸恢復的機會。
心肌梗塞vs主動脈剝離
侯紹敏說,一般來說主動脈剝離典型症狀為前胸到後背撕裂般劇痛,心肌梗塞則是胸痛衍生至手臂或下巴(有時甚至出現胃痛),若主動脈剝離影響到心臟冠狀動脈時,病人出現心肌梗塞症狀,其心電圖及心肌酵素檢查呈異常。

3 秒獲得專屬健康心法
挑選您關心的主題
馬上掌握精選內容
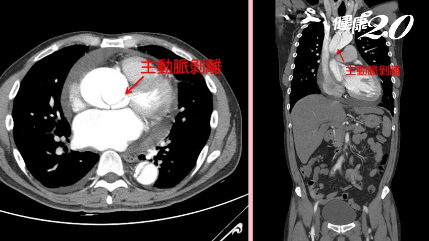
▲透過影像檢查可發現主動脈剝離的情況。
國泰醫院日前接到一名患者因洗澡時突然胸悶、暈厥而送來急診,因胸悶症狀及心肌酵素檢查顯示為急性心肌梗塞,使用抗擬血藥物後,進行心導管介入性檢查治療,才進一步發現同時有主動脈剝離現象,緊急手術後才搶回性命。
這些人更要小「心」
侯紹敏提醒,高血壓、高血脂等危險因子造成的動脈粥狀硬化、先天主動脈狹窄及馬凡氏症候群等,都是誘發主動脈剝離的原因,症狀為突發性的劇烈胸痛(前胸到後背)、呼吸困難、休克暈厥等,特別提醒三高病人應規律用藥控制疾病,特別是天氣太冷或太熱等氣溫變化大時,更是心肌梗塞及主動脈剝離好發的高峰期,更要留心注意。
本文由健康2.0授權報導,未經同意禁止轉載,點此查看原始文章
◎記者/曾金月報導 ◎ 圖片來源/國泰醫院‧達志影像/shutterstock提供
相關文章
心臟最怕忽冷忽熱,中年人也要注意! 醫:除了胸痛還有這些症狀
胸痛是心臟出問題?台大醫師告訴你原來這些原因都會胸口悶痛 ...







3 秒獲得專屬健康心法
挑選您關心的主題
馬上掌握精選內容















































