健檢驗出血尿!竟是「腎臟長水泡」且無法治癒 醫授3要點防腎功能惡化

一名過去無特殊疾病史、身體也沒有任何症狀的35歲男子,最近因員工健康檢查發現有血尿情況,向新竹台大分院腎臟科門診做進一步檢查,發現兩側腎臟有許多大小不一的水泡,被診斷為「多囊腎」。多囊腎常見的原因是遺傳性腎臟病,醫師建議家屬也要檢查,並要定期追蹤。
腎臟內科醫師張勤斌說明,多囊腎稱為「自體顯性多囊性腎臟病」,是基因缺陷引起的。患者可能出生時腎臟就有囊腫,普遍在30~40歲後,出現症狀才被診斷出來。近年來健康檢查的觀念普遍,或因尿液檢查異常或超音波檢查而發現。病人腎臟功能會因年齡增長漸漸變差,可能惡化為末期腎病變,需要長期接受透析治療或接受腎臟移植。
看更多:提早洗腎!不明原因腰痛、高血壓、血尿 小心你的腎臟長水泡

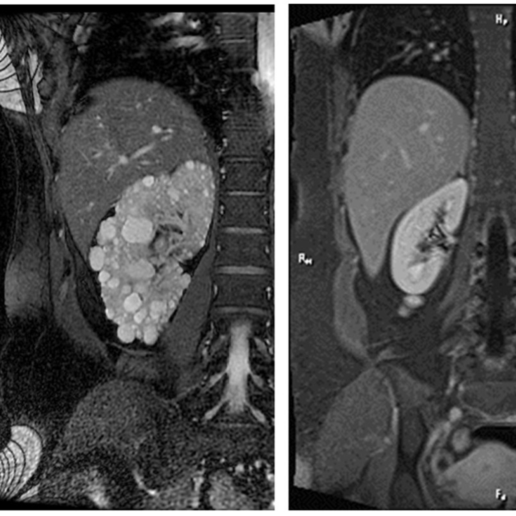
▲磁振造影下,左圖為多囊腎,右圖為正常腎臟。(圖片/新竹台大分院提供)
延緩腎功能惡化 日常生活注意3點
張勤斌指出,要防止腎功能惡化,從改善生活開始,有3點須注意:

3 秒獲得專屬健康心法
挑選您關心的主題
馬上掌握精選內容
1.注意血壓是否偏高
若血壓偏高,建議服用降壓藥物來控制血壓,保持適當的血壓對延緩腎臟功能惡化是很重要的。
2.適當控制水量攝取
一般腎臟功能正常時,每天至少飲水2公升並視身體狀況調整。若腎功能不良或合併其他疾病,需諮詢醫師,確定適合自己的飲水量。
3.飲食調整+運動
根據醫師、營養師的指導,限制鹽分和適當的卡路里攝入量,維持適當血壓和體重,減少鹽分攝取與適當運動對於延緩腎臟功能惡化也有助益。另外,也要根據腎臟功能狀態的不同,注意蛋白質的攝入量。
多囊腎尚無治癒方法 藥物可抑制囊腫增長速度
藥物治療方面,Tolvaptan是目前可以抑制囊腫增長速度的藥物,限用於已出現病情迅速惡化跡象之第3期慢性腎臟病的18至50歲自體顯性多囊性腎臟病患者,且腎臟影像呈雙側瀰漫性水泡,病情須符合特定條件,如一年之內eGFR(腎絲球濾過率值)下降≧5.0mL/min/1.73 m2或五年內eGFR 每年下降≧2.5 mL/min/1.73 m2,且排除其它如脫水、藥物、感染、阻塞等原因所致。使用時須定期檢查肝功能與血中電解質濃度,因藥物會增加排尿次數需補充適當的水分。
張勤斌提醒,多囊腎為一種基因變異的疾病,目前尚無治癒此疾病的治療方法,唯有透過早期診斷,了解減緩腎功能惡化的生活方式,監控血壓才能延緩進入透析的時程。
◎ 圖片來源/新竹台大分院‧達志影像/shutterstock
◎ 資料來源/新竹台大分院
→疫後時代來臨,染疫怎麼辦?與疫共存怎麼防疫?快來看防疫懶人包!
→健康資訊不漏接!點我加入【健康2.0 LINE好友】【FB粉絲頁】







3 秒獲得專屬健康心法
挑選您關心的主題
馬上掌握精選內容



















































