他怕疫情,攝護腺腫到10倍大、險敗腎 出現3警訊就須手術

隨著新冠肺炎疫情解禁,醫院也紛紛出現了許多強「忍」差點出問題病患。台北市聯合醫院門診就發現有好幾位重度攝護腺肥大症合併尿滯留的患者,因延誤就醫,導致急性腎衰竭,緊急插尿管後才免去洗腎。
延伸閱讀:前監察院長王建煊罹攝護腺癌 醫師呼籲男性「這年齡」都該檢查,及早治療預後佳
70歲忍功了得差點要洗腎
北市聯醫和平婦幼院區泌尿科區許富順提到,一名70歲男性就醫時,攝護腺腫大到正常大小的10倍大,兩周無法順利解尿,在急診插尿管後引流約2,000cc尿液,超音波檢查發現雙腎皆水腫,抽血發現腎衰竭而緊急住院。後續施行第三代綠光雷射氣化切除術、膀胱訓練後才恢復解尿功能,腎臟功能也恢復大半。
延伸閱讀:身體缺水也會腰痛?「多喝水」不會胖 還能減肥、減少慢性痛

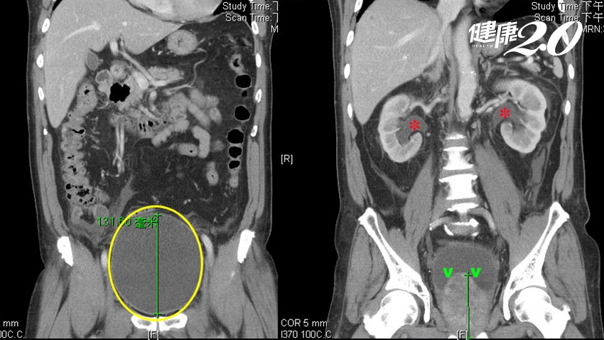
▲電腦斷層顯示,患者的攝護腺(綠色箭頭)屬於極重度的肥大,嚴重擠壓到膀胱,導致尿滯留,膀胱脹尿超過2000cc,壓力上傳到腎臟,造成雙側腎臟水腫(紅色星星)。
許富順指出,男性年過50,攝護腺將逐漸的肥大,除了造成排尿變慢、細小,或是無法解尿外,亦可能有刺激的症狀如急尿、頻尿或夜尿多次現象,造成生活不便。

3 秒獲得專屬健康心法
挑選您關心的主題
馬上掌握精選內容
攝護腺腫大3警訊須開刀
一般民眾知道手術可以根治攝護腺肥大問題,可是又擔心手術併發症,因而躊躇不決,導致病情惡化。許富順認為,有下列3種警訊就必須要認真考慮手術:
1. 藥物治療後,小便細小困難並未改善。
2. 尿急一來就忍不住,常常滲尿漏尿。
3. 重度攝護腺肥大者,同時有糖尿病、心臟病或腎功能不佳等慢性病。
許富順說,攝護腺用藥未改善,或發生尿急滲尿者,表示肥大的情形嚴重,而且膀胱受攝護腺擠壓,導致壓力增加。長期以往,膀胱將會發生纖維化的退化,拖久了即使後來接受攝護腺手術,膀胱的退化也無法復原。
延伸閱讀:新郎官猛灌烈酒尿不出來 醫:「急性尿滯留」這些情況也會
此外,慢性疾病者隨著年紀增加,手術的風險也增高,因此要以『超前部署』的概念,與泌尿科醫師詳細討論手術的時機。
延伸閱讀:猛男「小弟」痙攣 解尿得等數十秒!「這病」最愛年輕人、讓人沒性福 快就醫
50歲男性應每年定期檢查攝護腺
許富順強調,50歲以上的男性,應每年定期檢查攝護腺,如有肥大發生,應檢查癌症指數PSA,如需藥物治療則配合醫師,平日保健應作息正常、不菸不酒、攝取含鋅食物、規律性生活,則可以避免攝護腺肥大提早發生。
◎ 圖片來源/北市聯醫‧達志影像/shutterstock提供
6/17起『健康2.0』全面升級!主持人除了鄭凱云,也會加入江坤俊醫師,更會邀請包括Dr.she許藍方、家醫科許書華、復健科侯鐘堡、營養師宋明樺、整形外科蘇宗柏等堅強的醫師 、專家陣容與大家一起守護全家人的健康,每天下午2點,每週六、日晚間7點,請準時鎖定 TVBS 56頻道『健康2.0』。
相關文章







3 秒獲得專屬健康心法
挑選您關心的主題
馬上掌握精選內容


















































