陳文茜罹癌事件 提醒2種人要小心「肺腺癌」

2022/04/12 10:48 更新
名主持人陳文茜女士因罹患肺腺癌腫瘤,日前動手術割除肺腺癌腫瘤後順利出院。對此,安南醫院胸腔外科鄭喬駿醫師表示癌症是目前國人十大死因第一位,其中肺癌的致死率更長年居冠。
廣告之後還有更多精彩內容
廣告之後還有更多精彩內容

肺癌之所以預後不佳,最大的原因是因為當疾病初期的時候,病人通常沒有症狀,等有症狀就醫的時候,又通常已經是疾病晚期的時候,所以「即早診斷、即早治療」就成為治療肺癌最重要的一件事情。
肺癌的主要好發因子有抽菸、家族史、汙染環境暴露,有以上情況者需要定期接受X光檢查。如果有長期咳嗽、胸痛、呼吸喘促等症狀更需要及早就醫。
廣告之後還有更多精彩內容
廣告之後還有更多精彩內容
女性及不抽菸者要小心
肺腺癌是肺癌當中的一種分類,通常肺癌會被分成「小細胞肺癌」跟「非小細胞肺癌」,「非小細胞肺癌」又分腺癌、鱗癌、大細胞肺癌及其他,在女性以及不抽菸的族群身上,肺腺癌是比較好發的一種類型。
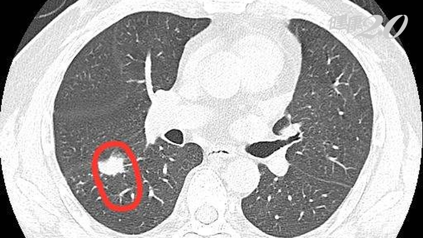
鄭喬駿說目前診斷肺腺癌所憑藉的工具依然以胸部X光為主,但受人為判讀的侷限性,通常只能辨識出1公分以上的病灶,而且還會因為腫瘤所處位置不同,而影響判讀的準確度。

▲低劑量電腦斷層可以提高肺癌診斷的準確率。
廣告之後還有更多精彩內容
廣告之後還有更多精彩內容
近年發展出低劑量電腦斷層檢查,輻射劑量相當於15張傳統X光片,仍在每人每年輻射劑量安全標準內,確實可以提高診斷正確率以及診斷小於一公分的病灶達到及早治療的目的,但目前需要自費檢測,當影像判斷認為有問題的時候,需要進一步依靠病理切片檢查,如確定有惡性細胞才能診斷為肺癌。
治療方面,鄭喬駿師提到早期肺腺癌病患是可以直接手術切除,而第二、三期病患可能就需要輔以化學治療或標靶藥物治療,但末期病患無法進行手術切除,就只能以藥物以及放射線治療的方式來控制腫瘤,預後狀況依據病人期別的不同而有極大的落差。
◎記者/曾金月報導 ◎ 圖片來源/文茜的世界周報‧安南醫院提供
相關文章
廣告之後還有更多精彩內容
廣告之後還有更多精彩內容
延伸閱讀

女牙痛頭痛肩頸痛痛到頭皮發麻!竟是「這關節」出狀況 2招治療雙管齊下終於解疼痛
2026-04-14 20:18:00

小水泡好癢!濕熱體質易好發「汗皰疹」 這4種食物你常吃?
2021-11-08 18:30:00

防失智吃什麼?哈佛追蹤20年:多吃「這2物」大腦竟年輕4歲
2026-04-15 14:18:00

名教授失智照顧成難題!前台北市副市長歐晉德首吐心聲:「我們也不知道怎麼辦」
2026-04-02 19:00:00

陳盈潔腎衰竭人生到終點?醫揭腎衰竭5大警訊 洗腎能延壽多久
2026-04-13 16:05:00

女性最容易中!這習慣沒改 泌尿道感染恐一再復發
2026-04-14 14:18:00
人氣排行榜
人氣排行榜















































