少女臉麻、走路不穩「症狀像中風」 驚罹腦部罕病!

一名17歲女高中生發覺自己嘴角周遭麻麻的,幾天內演變成整個右臉麻木,4天後甚至出現暈眩、走路不穩的情形;醫師透過少女描述的症狀,直覺病情不單純,安排腦部核磁共振檢查後,發現腦部有多處「卵圓形斑塊」,確診為多發性硬化症,為全台僅有1000多個罕見病例之一。

示意圖/TVBS
間斷式發作 失能風險日漸增加
多發性硬化症是一種發生在中樞神經系統(腦部與脊髓)的慢性自體免疫疾病,澄清醫院中港院區神經內科主治醫師鄧浩文說明,病程大多以間斷式的發作為主,隨著反覆發作以及腦部病灶的累積,患者失能的風險也逐漸增加。
這位女高中生患者回想自己約1年前也曾發生右臉麻木的症狀,當時以為是吃了辣味食物引起,而不以為意,幾周後症狀也逐漸改善;今年暑假期間,右臉麻木症狀再度發生,起初到診所就診,懷疑是臉部三叉神經問題,也可能是感冒引起,沒想到藥還沒吃完,又發生暈眩、走路不穩等情形。
延伸閱讀:突然天旋地轉!頭暈、腦袋昏沉該看哪一科?
年輕女性居多 出現「類似中風症狀」要注意
多發性硬化症在台灣的確診病例僅有1000多例,因此被列為罕見疾病;患者以年輕人居多,且女性多於男性。鄧浩文說明,根據腦部病變的位置、影響的神經組織不同,多發性硬化症患者可能出現視力受損(視神經病變)、下肢無力、平衡失調、行動不穩、麻木、語言障礙、暈眩、大小便機能失調等症狀。
目前多發性硬化症的致病原因尚未完全明瞭,但目前的證據顯示,患者腦神經纖維表面覆蓋著一層「神經髓鞘的物質」(可以把它想成電線的外皮、保護裡面導電的電線),被自己身體所製造的抗體攻擊,而在腦部形成一處或多處的發炎反應與疤痕,又稱為硬化或斑塊。
延伸閱讀:多次小中風,他竟完全無感!影像醫學名醫:凡走過必留下痕跡
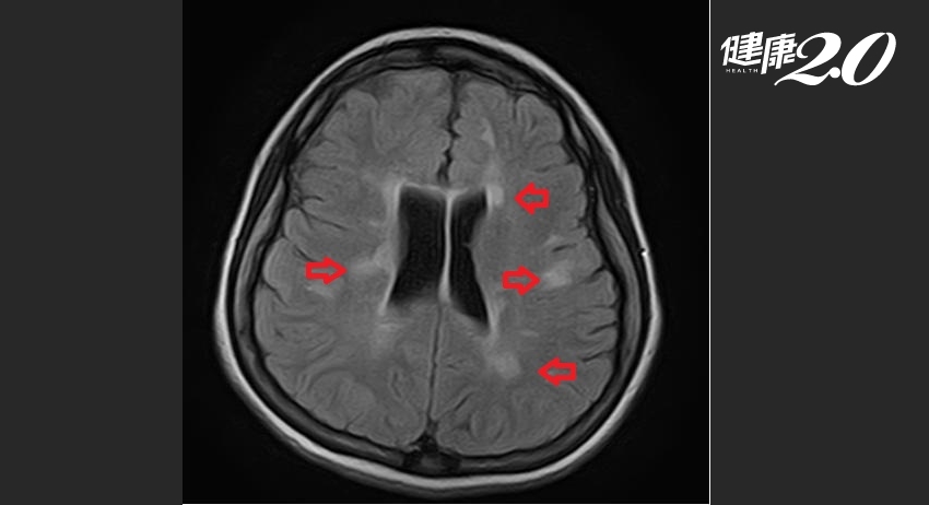
鄧浩文指出,在沒有三高或吸菸的年輕人身上,出現類似中風的局部神經症狀,通常非單純疾病,需要高度懷疑為腦部疾病,尤其可能是腦幹病變。少女經腦部核磁共振檢查,發現在右側的腦幹與小腦交界以及腦室周遭有多處疑似去髓鞘病灶的卵圓形斑塊,經過其他檢查,包括腦脊髓液檢查排除其他疾病後,確診是罹患多發性硬化症。

▲ 少女患者的右側腦幹與小腦交界、腦室周遭有多處卵圓形斑塊。
多發性硬化症雖然尚未有可以根治的治療方法,但在急症發作時,可以給予短期高劑量皮質類固醇治療,加速緩解臨床症狀;當病情穩定後,可長期接受免疫調節解藥物治療,降低復發的頻率與未來失能的風險。
◎ 編輯/王家瑜報導 ◎ 圖片來源/澄清醫院‧達志影像/shutterstock提供
相關文章
他27歲,腦萎縮像60歲 手腳麻、容易疲倦、走路不穩…都可能是多發性硬化症
腦中不定時炸彈!動脈瘤得手術嗎?3判斷關鍵、有這些情形快處理

























































