人工膝關節置換術搶救阿嬤的X型腿 2周能走還能騎機車

2023/07/04 18:30 更新曾金月報導
67歲陳女士有嚴重「膝外翻」情況,日常生活及走路皆十分不便,最近因外翻造成的膝蓋磨損讓她感到疼痛不堪,決定針對右膝進行「全人工膝關節置換」手術,術後恢復良好,返家後2周就能自行騎機車出門活動,目前在門診持續追蹤已超過半年,正常無異狀。
廣告之後還有更多精彩內容
廣告之後還有更多精彩內容
膝外翻就是X型腿
安南醫院骨科許惟傑醫師表示,膝外翻就是俗稱的X型腿,主因與老化有關。正常人雙腳站立時的膝蓋角度約5到7度,如大於10度則為膝外翻。
可依據角度大小分輕度(小於10度)、中度(10到20度)及重度(超過20度)的膝外翻,陳阿姨為35度左右故屬於嚴重膝外翻,對於手術置換人工關節難度大大提升。

廣告之後還有更多精彩內容
廣告之後還有更多精彩內容
▲陳阿姨的膝蓋外翻35度,屬於嚴重程度。
嚴重的膝外翻病患可選擇第二代人工膝關節即「髁骨限制性人工膝關節」,可增加術後穩定度,但膝關節後續併發症機率較第一代高,活動度也不如第一代理想,所以必須謹慎評估,最後陳阿姨是使用第一代人工膝關節置換。

3 秒獲得專屬健康心法
挑選您關心的主題
馬上掌握精選內容
免費使用,無需註冊
依你興趣推薦專屬文章

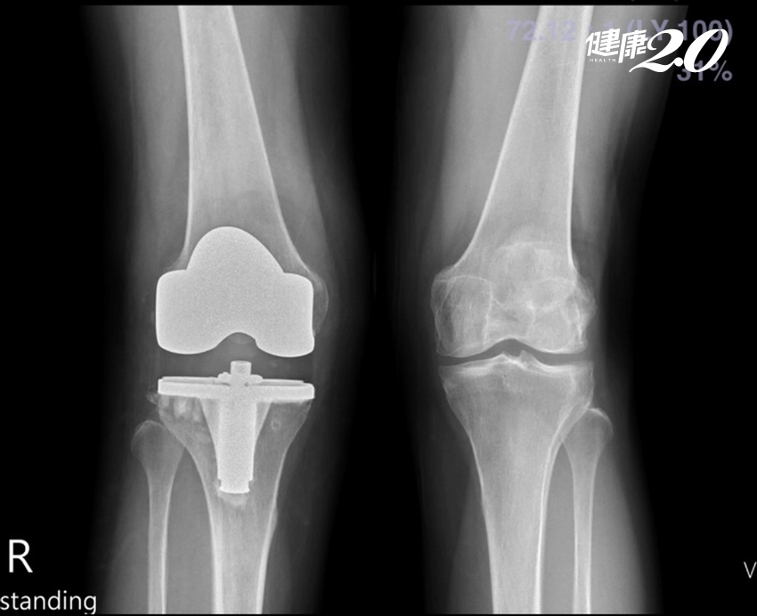
▲術後,已可明顯看出矯正的幅度。
術後仍需復健
許惟傑強調,患者長期膝外翻,容易造成膝外側軟組織攣縮,並伴隨不同程度上膝關節內側軟組織結構鬆弛,因此術後尚需配合復健來增強膝蓋力量,增加行走穩定度。
廣告之後還有更多精彩內容
廣告之後還有更多精彩內容
許惟傑說,全人工膝關節經過十幾年來發展至今,無論設計上及醫材材質方面都有很大的進步,如無併發症之發生如皮膚壞死,傷口感染或股骨踝上骨折,通常關節置換後平均可維持15年左右壽命,有效緩解病人疼痛。
◎ 圖片來源/安南醫院‧達志影像/shutterstock提供
相關文章
延伸閱讀

膝關節痛與腳底有關?1招檢測扁平足 足弓塌陷全身關節都糟殃
2019-08-05 17:12:11

超高齡長者「膝關節痛」新選擇!96歲阿嬤治療後笑口常開、到處趴趴走
2020-07-14 12:27:00

人工關節可耐用20年,但有些人不適合!4種情況不必換人工關節
2020-12-21 15:56:54

換人工關節不用做復健!機器人手臂手術傷口小,術後即可下床走
2021-02-24 16:18:34

不一定是五十肩!肩膀又痛又卡常見2大原因 及早治療免換關節
2021-08-19 11:24:19

膝關節全壞才能換?醫:膝蓋壞一半換一半 痛得少 好更快
2022-03-02 18:00:00
人氣排行榜

3 秒獲得專屬健康心法
挑選您關心的主題
馬上掌握精選內容
免費使用,無需註冊
依你興趣推薦專屬文章
人氣排行榜


















































