長得又高又帥也別太高興 氣胸發生率高,有這症狀時快就醫以免致命危險

長得又高又帥雖然很吸引人,但也要小心,高瘦的人容易發生「自發性氣胸」。15歲瘦高的男學生突然覺得左胸痛,緊急送醫發現是自發性氣胸。由於他曾有氣胸發作史,評估復發率可能高達5到7成,遂安排進行手術,解除他肺部的不定時炸彈。醫師提醒有病史者胸痛、胸悶時快就醫,避免緊急復發可能缺氧、致命。
曾發生過一次的復發率為3到5成,2次復發後再發率達7成
台北慈濟醫院胸腔外科醫師洪嘉聰表示,這位鄭同學急診送來的時候,發現他是自發性氣胸復發。因為他右側胸也曾發作過,因為只要發作過1次,復發率是30%到50%,再次發生後,復發率升高到5成到7成。考量鄭同學發作次數頻繁,洪嘉聰「劍突下單孔胸腔內視鏡雙側肺泡切除術併肋膜沾黏術」為他治療,術後第5天,他便平安出院,免於氣胸復發之苦。

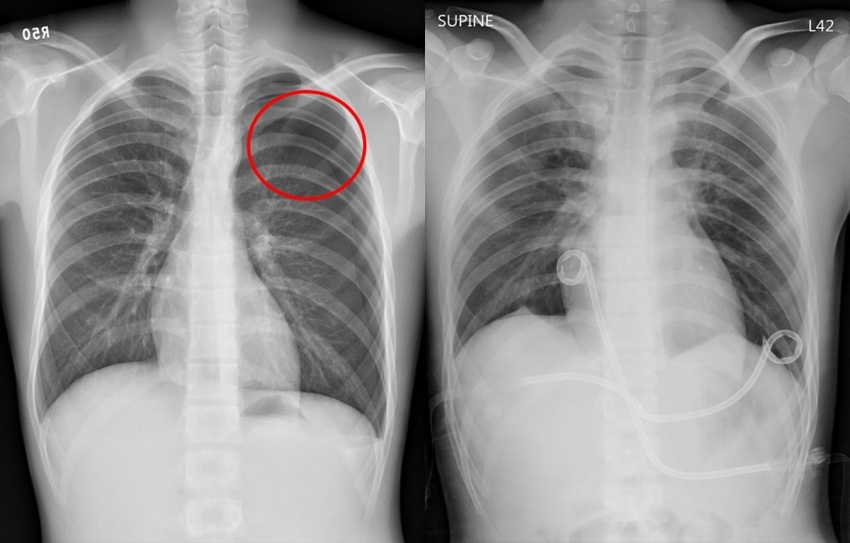
▲鄭同學因氣胸導致肺部塌陷(圖左紅圈處),經劍突下單孔胸腔內視鏡雙側肺泡切除術併肋膜沾黏術後肺部完全擴張(右)。
洪嘉聰表示,氣胸是指因外傷或在無任何外在因素的情況下,發生肺泡破裂,導致空氣不正常進入肋膜腔,引發肺臟部分或完全塌陷,使患者出現胸痛或呼吸困難等症狀。前者是外傷性,後者稱為「自發性氣胸」。
看更多:有運動又養生,69歲男心肌梗塞發現3條冠狀動脈都阻塞 冷氣團來臨要當心

3 秒獲得專屬健康心法
挑選您關心的主題
馬上掌握精選內容
自發性氣胸頻繁復發,當心致命危險
洪嘉聰說,自發性氣胸好發於16至24歲間,身材高瘦、有家族病史的年輕男性。若未手術的、採取保守治療,復發率可高達30%至50%。它的危險是,在未適當治療且頻繁復發時,會導致大量氣體反覆進入肋膜腔,不斷壓迫肺臟及心臟,致使肺部完全塌陷、血液回流受阻,就可能演變為「張力性氣胸」。若不及時手術,會發生缺氧、休克,甚至有生命危險。
竹竿型體型最好發
自發性氣胸好發於瘦高體型的人,很多人都會問「身高多高算瘦高?」洪嘉聰說,其實重點是「竹竿體型」,有些人也不一定很高,但是很瘦,看起來就是瘦瘦長長。
為什麼這些人容易氣胸?據推測可能是因身高長太快而胸廓的寬度發育慢,肺泡長得不夠成熟、健康。再者胸腔負壓從肺底至胸頂遞增的特點, 所以胸頂部肺泡比底部有更大的膨脹壓力,所以瘦高體型、扁平胸、吸煙的年輕男性特別好發。
「醫龍」也有氣胸急救畫面
在電影裡常出現有人突然發生氣胸,男女主角「神來一筆」,要來一支筆幫病患刺穿胸腔救回一條命。洪嘉聰說,確實是可以這樣。他說,在日劇「醫龍」第1集,男主角就要了1支筆,折斷了,分別插在患者的左右胸,急性發作時真的要趕快引流出氣體,不過他懷疑筆的銳利度,他建議還是用針或是乾淨的刀子比較好。
看更多:5旬男胸背痛竟是主動脈剝離50公分!醫曝4大危險族群小心變冷造成血管收縮
常運動肺活量大可降低肺癱塌缺氧
氣胸發作時又猛又急,很多人都會問「我可以做什麼運動預防自發性氣胸?」洪嘉聰說,氣胸好發於劇烈咳嗽、運動時,但也遇過病人是睡到一半胸痛痛醒、考試考到一半發作,所以很難完全預防它復發。但是常運動的人會有更大的肺活量,如果發作時可以降低肺癱塌引發缺氧。
很多人怕開刀,氣胸若發作範圍小,通常會採取保守治療。先臥床吸純氧,讓跑進胸管的空氣自行吸收,或是用胸管引流胸腔多餘空氣來加速復原。需要開刀時,傳統氣胸開刀是開胸、在肋間畫出約10公分的開口切除異常肺泡,再視病情執行肺臟與肋膜間的沾黏手術,避免空氣再度進入而復發。
由於術後傷口疼痛時間及恢復期較長,多數病人不太願意開刀。洪嘉聰說,近年來已經改採「胸腔內視鏡手術」治療,切口不超過3公分,能將復發率降低至5%以下。但若雙側都有,兩側都要開切口,雙側都有傷口,雖然傷口變小,還是會產生不適感。
創新手術劍突下單孔胸腔內視鏡可同時處理雙側氣胸
他這次採取的「劍突下單孔胸腔內視鏡手術」,則是在胸骨下方劃開一小切口進入胸腔,可同時處理雙側氣胸,更能避開肋間神經壓迫,減少病人術後疼痛,生活品質更提升。
有病史者別潛水、高空跳傘
洪嘉聰提醒,曾有氣胸的人要避免從事氣壓變化大的活動,如潛水、高空跳傘等,若需搭乘飛機也應先向醫師諮詢,以減少發作機率。曾氣胸發作的患者,當出現呼吸困難或胸痛時,應盡早就醫。
看更多:藍心湄也在這跌倒過,家裡「這地方」超危險 肋骨骨折專用骨板更快止痛、促癒合
◎ 圖片來源/台北慈濟醫院提供
◎ 諮詢專家/洪嘉聰醫師
→冬令怎麼補就看健康2.0!2021/12/21前每天打開手機搖一搖看文章,就可抽好禮!點我下載【健康2.0 APP】
→健康資訊不漏接!點我加入【健康2.0 LINE好友】【FB粉絲頁】







3 秒獲得專屬健康心法
挑選您關心的主題
馬上掌握精選內容



















































