喜劇天王班史提勒曝攝護腺癌術後漏尿、性功能受損 達文西治療免傷神經

《博物館驚魂夜》、《門當父不對》等賣座喜劇男主角班史提勒在鏡頭前搞笑,沒想到他為了提醒大眾關注男性攝護腺癌,自曝2014年發現攝護腺癌,雖然及早治癒,但卻留下漏尿、性功能受損等後遺症。達文西手術治攝護腺癌可避開神經,擺脫漏尿危機,雖然手術健保有給付,但耗材需自付20到25萬元。
勞勃狄尼洛、六人行男星、金像獎影帝都是攝護腺癌受害者
近年來許多好萊塢男星深受攝護腺癌所苦,包括勞勃狄尼洛、前《六人行》男星詹姆斯麥可泰勒,以及日前才剛去世的金像獎影帝威廉赫特,都是攝護腺癌的受害者。今年56歲的班史迪勒在8年前、48歲的時候發現早期攝護腺癌,雖然他自曝為了治療攝護腺癌,尿失禁、性功能受影響,但他覺得救回一條命比保留性功能更有價值,同時也呼籲男性注意自己的健康。
看更多:美女主播罹乳癌,7個字救回一命 醫曝乳癌得這樣做才能防復發
無攝護腺肥大,健檢卻發現攝護腺癌
63歲李先生完全無排尿障礙,自覺比其他同齡男性受攝護腺肥大之苦幸運,但是健檢時卻發現攝護腺癌指數(PSA)達68,是正常男性指數4的17倍,求治於台北慈濟醫院泌尿科,切片檢查後確診為攝護腺癌第三期。

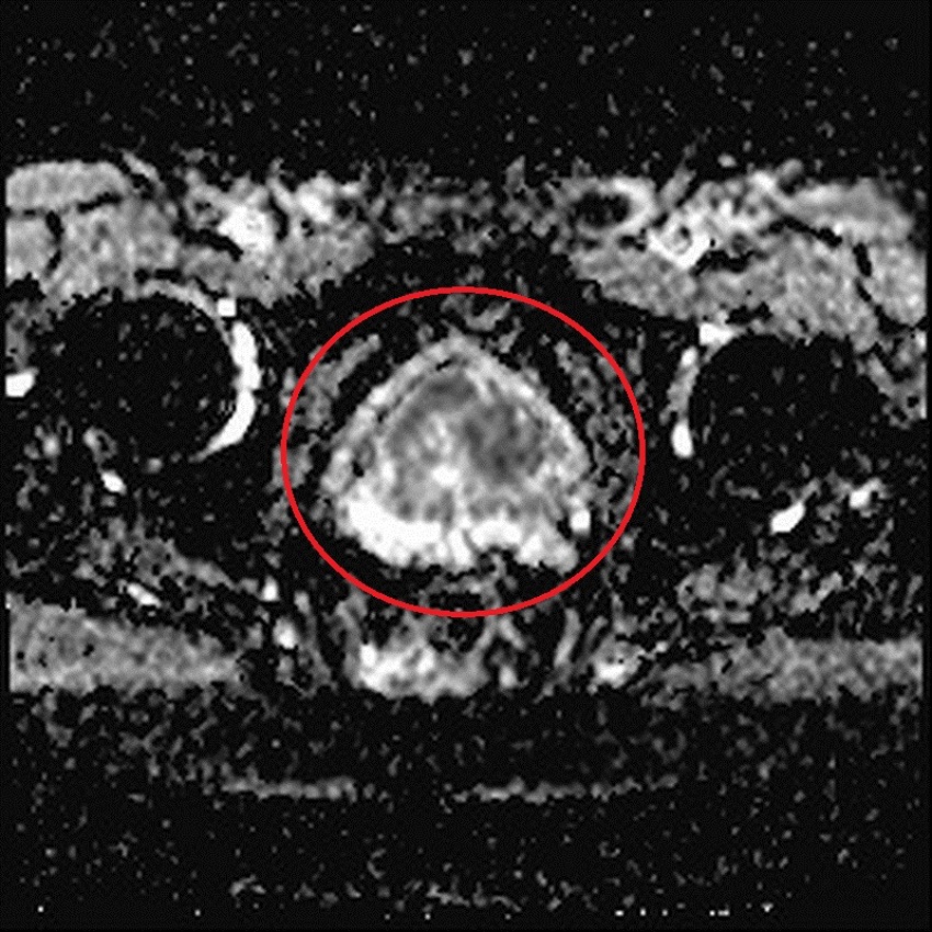
▲患者術前核磁共振影像;可看出攝護腺(紅色圈圈)中陰影處為攝護腺癌範圍,腫瘤體積已超過90%。
為排除手術後發生尿失禁和勃起功能受影響,李先生審慎評估可選擇的手術方式和各術效果及風險後,他選擇接受達文西手臂輔助的「根除性攝護腺切除術」。術後6天出院,恢復良好;再次追蹤PSA指數已回歸正常值,且沒有出現尿失禁現象,勃起功能亦未受影響。
李先生的主治醫師、泌尿科主任張尚仁表示,攝護腺癌手術方式有3種,1是傳統開腹手術、2是微創腹腔鏡手術,3是微創達文西手術,在腫瘤尚未轉移前以「根除性攝護腺切除術」為治療首選。因為攝護腺位於腹腔深處,術中一旦傷及神經,恐造成尿失禁及性功能障礙的後遺症;而達文西手術是目前恢復最快,併發症也最少的方式。
看更多:普丁易怒、撲克臉、引爆戰爭 是失智症、巴金森氏症、或癌症副作用惹禍?
泌尿科醫師游智欽解釋,傳統的開腹手術需於下腹部開約15公分的大傷口,常造成大量失血,術後也需較長的恢復期。而腹腔鏡手術和達文西手術與雖然同樣都是微創手術,僅需開4個小孔,傷口小、疤痕美觀,也能降低手術失血量。
達文西手術視野放、器械運用更靈活
而達文西機械手臂施術時擁有放大10倍的3D清晰視野,器械仿造人體手腕能靈活旋轉、抓取、運針的精密動作,克服傳統腹腔鏡手術視野窄、器械只能「直進直出」,操作縫合不易等缺點。所以可保留最多正常組織,並將病灶根除乾淨,手術的風險及疼痛感降至最低,加速復原。
達文西治攝護腺癌有健保給付,仍需自付20-25萬
攝護腺癌手術最讓人詬病的,是術後常留下尿失禁、勃起功能障礙,讓許多男性擔心治好後卻失去雄風,泌尿科醫師許竣凱表示,達文西機械手臂施術不僅傷口小,也有利於保留攝護腺周遭的血管及神經,能大幅降低術後漏尿及性功能障礙問題,該院團隊已經完成300例以上。不過達文西手術雖然有健保給付,但是耗材昂貴,恐怕得自付20到25萬元的耗材費。

▲台北慈濟醫院泌尿科團隊陣容堅強,目前累計已完成近300例達文西手術,治療經驗豐富。
醫務部副主任蔡曜州提醒,攝護腺癌早期幾乎無症狀,呼籲男性年逾50歲,或是有攝護腺癌家族史的40歲以上男性最好定期進行攝護腺指診、PSA篩檢,才能早期診斷、早期治療。
看更多:子宮頸疫苗 男生比女生更該打!口咽癌病患比子宮頸癌多、更致命,好萊塢巨星也受害
◎ 圖片來源/TVBS‧台北慈濟醫院提供
◎ 諮詢專家/張尚仁醫師‧台北慈濟醫院
→健康資訊不漏接!點我加入【健康2.0 LINE好友】【FB粉絲頁】
→字體放大好閱讀,收藏文章更便利!點我下載【健康2.0 APP】


























































