突然說「外星語」是腦袋出問題?別一笑置之,快送醫急救!

如果碰到平常正常的人,突然間胡言亂語,不要以為他是乩童,以為是神明附身起駕了,應該叫他趕快去看醫生。
我們如果碰到一個人在說奇怪的話,都會說他的腦子有問題,這一點,還真說對了。因為有部分的人中風,不一定是癱在地上動也不動,或是眼歪嘴斜,說不出話來,他不但會說話,而且還盡說些奇怪的話,一般我們稱這種狀況的中風叫「說方言」。

示意圖/TVBS
曾經有個60歲的病人,中午時,他在外面用餐,後來走路回家,走到一半時突然跌倒,爬起來後,好像沒事,他就拍拍褲子,回到了家。
到家之後,他就開始胡言亂語,盡說些人家聽不懂的話,據他的家人描述,有的聽起來像台語,有的就完全聽不懂了,內容可能只有神明才知道了。
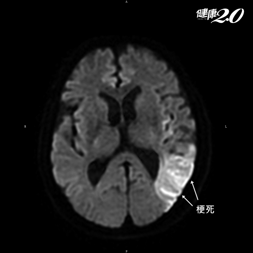
家人覺得奇怪,送他到醫院,一開始以為是精神失常,但做了磁振造影檢查(MRI)後,才發現他的左側的中大腦動脈的分枝血管堵塞,造成左側界於次頂葉及顳葉之間的「語言感覺區」壞死。

簡單來說,就是這次的中風,傷到了他的語言能力。他不是不能說話,而是他的話沒人聽得懂。這一區塊的腦子如果受到損傷,病人雖然說話流利,但幾乎都沒有內容,而且辭不達意,這種現象稱為「Wernicke’s Aphasia」或「感覺失語」症。
在腦科裡,我們說這種「說方言」的狀況為「失語症」,讓護理人員能夠更快的明白病人現在的狀況。「說方言」在基督教裡是專有名詞,但這裡我們是借這個詞彙來用,指的是一個人可以流暢的說著旁人難以理解的話。
幸好這個病人在送來的時候,還在黃金時間內,就直接進行取栓,將堵在血管上的血栓取出,病人也逐漸復原。

中風會以什麼形式來臨,誰也說不得準,它考驗著每個人,不過可以肯定的是,一個人中風的機會,會比神明附身的機率還高出許多,這時候也別討論這個人到底說話的內容是什麼?或是跟他辯解,還是盡快送醫,把握取栓的黃金時間要緊啦!
◎ 本文摘自/《腦血管微創醫師的告白:撐開血栓,探見手術間錯綜複雜的人生》 陳啟仁 著 ◎ 編輯/王家瑜整理 ◎ 圖片來源/帕斯頓數位多媒體有限公司‧達志影像/shutterstock提供
相關文章




















































