暴牙臉歪讓她睡不好、沒自信 「顳顎關節」3階段治療奏效!

就讀大學3年級的王同學,因為小時候跌倒受傷,使得下顎骨生長歪斜,導致嚴重暴牙、顏面歪斜等問題,不僅外表不美觀,嘴巴長期無法緊閉、咬合不良也造成進食上的困擾,而下顎骨後縮也壓迫到呼吸道,難以一夜好眠;在接受「顳顎關節整合治療」後,終於解決困擾已久的生理問題,外表也變得亮麗、成功找回自信心。

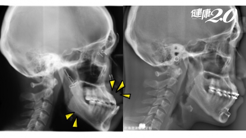
▲ 王同學接受治療前下顎內縮、嚴重暴牙(圖左);經過齒列矯正治療、重建顳顎關節與正顎手術後外觀明顯改善(圖右)。
全台1/4人有顳顎關節障礙 女性占多數
顳顎關節又稱為下顎關節,位在臉頰側面、耳朵前方,主要控制下顎的活動;當你張嘴時,將手放在兩側耳前,即可感受到顳顎關節的移動。萬芳醫院口腔顎面外科主治醫師姜厚任表示,據統計全台有將近1/4的人口都有輕重不一的顳顎關節障礙症候群,好發在20到40歲族群,且女性約占7成。
可別小看顳顎關節的影響力!許多研究指出,生長期發生的顳顎關節問題,可能會影響臉型及咬合的發育,造成下巴後縮或顏面不對稱(臉歪)等。萬芳醫院牙科部主任李勝揚表示,顳顎關節、顎骨、咬合三者可說是密不可分,透過個人化的精準治療,可改善呼吸道寬度,進而改善打呼、遠離呼吸中止症威脅。
延伸閱讀:沒有呼吸中止症,打鼾就沒關係?醫:小心這些病都與鼾聲有關
姜厚任提到,顳顎關節障礙症候群是由許多咀嚼系統問題集結而成,可能的致病原因包括:
1. 咬合不良
2. 個人體質容易緊張、焦慮、易怒、求好心切
3. 壓力大
4. 作息不正常、睡眠品質不佳
5. 夜間磨牙、喜歡緊咬牙齒、喜歡咀嚼硬的食物、長期頭頸部姿勢不良等壞習慣
6. 下顎關節曾受外力撞擊

3 秒獲得專屬健康心法
挑選您關心的主題
馬上掌握精選內容
顳顎關節整合治療 依據個人狀況考量
治療方面,依照病症嚴重度不同,需考慮不同的治療方案。姜厚任說明,初期通常會以非侵入性、可逆的保守治療為主,例如藥物、物理治療、復健、咬合板等,並建議患者調整飲食習慣,或補充魚油、維生素D等有益關節的營養素;如果疼痛仍未改善,則考慮使用微創治療,例如關節沖洗、玻尿酸注射、微創顳顎關節內視鏡手術;若合併有嚴重咬合問題或顎顏面發育異常,可考慮接受齒列矯正或正顎手術治療。
針對王同學的病況,因為暴牙導致下顎後縮且歪斜、牙齒咬合不良,醫師評估後先為她進行齒列矯正治療及重建顳顎關節,先打好基礎,待骨頭發育成熟後,再進行正顎手術。雖然治療過程漫長,術後至今2年仍需配戴維持器,但王同學開心地說,現在不像以前總是睡睡醒醒,終於可以睡得好了。
延伸閱讀:牙齒不整齊,當心頭痛找上門!這一招幫臉頰「放輕鬆」

▲ 王同學接受顳顎關節整合治療後,外觀變漂亮、人變得自信,更解決了長期以來的進食、睡眠困擾。
◎ 編輯/王家瑜報導 ◎ 攝影/王家瑜 ◎ 圖片來源/萬芳醫院提供
相關文章
刷牙、打呵欠口張不開...15大徵兆,下巴卡卡的原因是這個病!







3 秒獲得專屬健康心法
挑選您關心的主題
馬上掌握精選內容



















































