老婦左腳水腫一倍大,醫師察覺不單純!檢查驚見50公分靜脈血栓

一名79歲老婦人2周前發現左腳腫脹,雖然到診所看診、吃了利尿劑仍未改善,沒想到水腫情形越來越嚴重,送到醫院時,整隻左腳腫脹成一倍大,無法正常彎曲,更難以走路。經檢查發現,她的左腿竟有長達50公分的血栓,從大腿到小腿的靜脈都被阻塞!
單腳水腫不單純!吃利尿劑也沒效
澄清醫院中港院區心臟血管內科主治醫師張耿豪表示,下肢水腫常與腎臟或心臟衰竭有關,但這類型的腫脹通常為對稱性,不會只出現在單腳,因此推測婦人的病症並不單純;經抽血發現血栓指數偏高,再以超音波檢查發現左腳股靜脈有血栓情形,進一步做電腦斷層確認為「髂靜脈壓迫症候群」。
在發生深部靜脈栓塞的患者,大約僅2%是髂靜脈壓迫症候群造成,張耿豪說明,這個疾病多半是左髂總靜脈受前方的右髂總動脈的壓迫所致,所以只會發生在左腳;而且該名婦人又有椎間盤突出,導致從後方壓迫左髂總靜脈,前後夾擊之下,造成血液回流不良而產生血栓。
長時間同一姿勢 小心深部靜脈栓塞
據醫師了解,這名婦人在老伴過世後,幾乎足不出戶,整天坐在椅子上或臥躺在床上。張耿豪說明,發生深部靜脈栓塞的原因很多,主要是長時間沒有改變姿勢、導致血流緩慢,像是長期臥床病患,或是搭乘長途飛機長時間沒有活動等,所以又有「經濟艙症候群」的別稱。
為了防止血塊漂流回心臟、引發肺動脈栓塞恐危及生命,張耿豪先在患者的靜脈裡放置「過濾網」,再進行導管血栓清除術,並置放支架撐開被壓扁的左髂總靜脈。術後隔天,婦人左腳腫脹已消失,再追蹤靜脈照影,確認已清除膝蓋以上90%的血栓。
延伸閱讀:急性肺栓塞死亡率逾9成!慢性病患和「這類女性」都有高風險

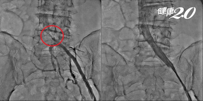
▲ 婦人的左髂總靜脈被壓扁、只剩縫隙(圖左紅框處),清除血栓後以支架順利撐開(圖右)。
張耿豪提醒,像是年長者、肥胖、使用口服避孕藥的人,或是有心血管疾病、惡性腫瘤、血液疾病、外傷或血管壁損傷的患者,罹患深部靜脈栓塞都較一般人高,務必特別留意。
◎ 圖片來源/澄清醫院中港院區‧達志影像/shutterstock提供
相關文章
坐太久容易靜脈栓塞 除了起身運動,這樣轉動腳板也預防
腳痠按摩竟致死? 醫師說有這些情形不能亂按摩
下半身水腫或發福?一招教你分辨
愛吃甜食冰品也會水腫!陳峙嘉醫師教你一招輕鬆破解
一盤「彩虹排毒咖哩」 消水腫、促進循環、提升代謝力


























































