孩子扭到腳別輕忽!生長板骨折變長短腳,3天沒改善快找骨科

13歲的張妹妹上學時不慎從腳踏車摔下來,左腳踝又腫又痛,媽媽先帶她到國術館推拿,但是過了一個禮拜仍不見好轉,趕緊到骨科檢查,醫師診斷為踝關節遠端脛骨三平面型骨折。
延伸閱讀:「肌內效貼布」真的有效還是噱頭?可以貼紮多久?有副作用嗎?
扭傷3天未好轉得進一步檢查
嘉義長庚醫院外傷骨科主任沈世勛指出,一般人尤其是青少年在日常生活中,不論是行走、運動或是跌倒經常會有扭到腳的經驗。大人有時會帶小孩到國術館推拿或是貼膏藥,其實大部分的情況都會在保守治療後改善,但若是2-3天後仍沒有明顯的改善時,最好到醫院找骨科醫師做進一步的檢查。
延伸閱讀:走路老是扭到腳踝?專家教2招每天練100次 提升腳掌力
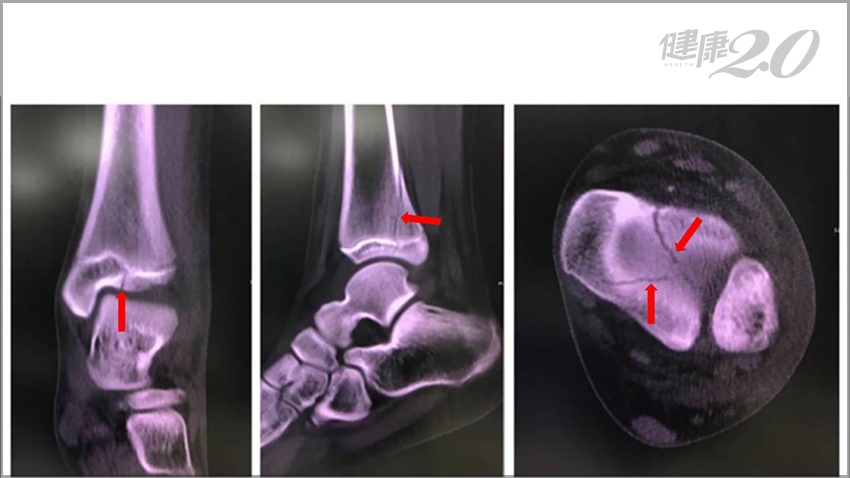
像張小妹妹這樣的骨折其實是很容易被忽略,在一般的X光上並不明顯,但在腳踝的電腦斷層上卻可以清楚看到複雜的骨折情形,這種情況稱之為踝關節遠端脛骨三平面型骨折 (Triplane fracture) 。

▲踝關節遠端脛骨三平面型骨折在X光上是無法看清楚。
遠端脛骨三平面型骨折會造成骨頭生長停滯
在青少年踝關節骨折中遠端脛骨三平面型骨折約佔5-15%,好發年齡在10-17歲青少年,且男性較女性常見。臨床上的症狀,包括腫、痛及無法負重踩地,甚至是變形。由於這種三平面型骨折是貫穿過遠端脛骨的生長板,故可能造成骨頭的生長停滯,依文獻統計其發生率約為7-21%。
延伸閱讀:腳踝痛得像被電到,8成是這裡受傷了!經常走路、運動的人務必小心

▲在腳踝的電腦斷層上,可以清楚看到複雜的骨折情形。
需長期追蹤避免長短腳或變形
此外,遠端脛骨生長板對下肢長度佔了15-20%的影響,因此這是青少年腳踝受傷時需要特別注意的一種骨折。在骨折固定治療之後,也需要持續追蹤是否發生因生長板生長停滯導致的長短腿及變形等後遺症。除此之外,遠端脛骨三平面型骨折也可能同時合併腓骨骨折(約50%)以及同側脛骨骨幹骨折,同樣是不可忽視的問題。
延伸閱讀:如何讓小孩長更高一些?醫師提點「睡覺3重點」要做到
沈世勛也建議民眾,當家中有小朋友腳踝受傷時應該讓專業的醫師評估,切勿忍痛或尋求偏方,才不會錯過最傷佳治療時機,影響小朋友的生長發育。
◎ 圖片來源/嘉義長庚醫院‧達志影像/shutterstock提供
6/17起『健康2.0』全面升級!主持人除了鄭凱云,也會加入江坤俊醫師,更會邀請包括Dr.she許藍方、家醫科許書華、復健科侯鐘堡、營養師宋明樺、整形外科蘇宗柏等堅強的醫師 、專家陣容與大家一起守護全家人的健康,每天下午2點,每週六、日晚間7點,請準時鎖定 TVBS 56頻道『健康2.0』。
相關文章
























































